女,66岁。
主诉:间断恶心、纳差2月
现病史:2月来患者间断恶心、纳差。进食后加重,无腹胀、腹痛、腹泻,无反酸、烧心,无吞咽困难等伴随症状。就诊于当地医院,查肌酐400umol/L左右。为进一步治疗来我院就诊。门诊查肾功能提示:尿素氮16.54mmol/L,肌酐485umol/L,尿蛋白2+。门诊以“蛋白尿、肾功能不全”收入肾内科。发病以来,患者神志清、精神可、大小便正常、睡眠饮食差、近期体重未监测。
既往史:腰椎间盘突出病史5年。其他无异常。
个人史、婚育史、家族史均无异常。
体格检查:T36.3℃、P102次/分、R23次/分、BP124/74mmHg。肝脾肋下未及,浅表淋巴结未触及肿大。
实验室相关检查:
血常规:

凝血功能:

常规生化:

尿常规:

自身抗体筛查:

β2微球蛋白:

血清蛋白电泳:

血清免疫固定电泳:

加做IgD、IgE免疫固定电泳:

影像学检查:

腹部彩超:

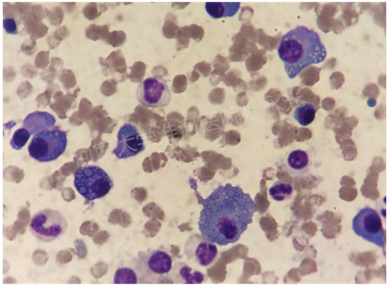
骨髓细胞学检查:




流式细胞学:



.png)


MM-FISH组合:

染色体:

骨髓活检:

最终诊断:IgD-λ伴λ游离轻链型多发性骨髓瘤
文献复习:
IgD型 MM 是一种少见类型的骨髓瘤亚型,具有Mott细胞形态学特征的IgD-λ伴λ游离轻链型MM就更加少见。IgD型 MM 与一般 MM所不同的一个临床特点是:其发病年龄相对年轻,生存期较短。有文献显示IgD型 MM较其他类型MM更容易引起肾功能不全。由于IgD在人体内含量极低,即使患者血清中IgD水平异常升高,也不一定可以达到出现M蛋白峰的浓度要求,因此有一部分患者电泳无M蛋白出现,球蛋白也可在正常范围内,有时可能低于正常。轻链型MM由于血清中无异常增生的重链,电泳亦可不出现M蛋白,且球蛋白往往减低,两者极易误诊[1]。因此应常规检测免疫固定电泳。并且在常规免疫固定电泳只出现轻链M带时,必须加做IgD、IgE的免疫固定电泳。以明确MM的分型。
在多发性骨髓瘤中,骨髓中浆细胞的数量尤其是形态异常浆细胞对骨髓瘤的诊断至关重要。异常浆细胞形态变化多样,既有与正常浆细胞不可区别的成熟浆细胞,也有不成熟浆细胞及具有包涵体的浆细胞。史敏[2]等结合实践观察以及国内外文献,通过不同包涵体性质及来源建议将其明确分为4种类型: ①Auer 样杆状小体或针状包涵体; ②结晶状包涵体; ③Dutcher小体; ④Russell 小体。
1.Auer 样杆状小体或针状包涵体
MM 细胞和浆细胞的胞质内可见短杆状或细针状紫红色包涵体最早由 Steinmann于 1940 年发现。髓系 Auer 小体过氧化物酶染色阳性,而浆细胞中 Auer 小体过氧化物酶染色为阴性,两者化学性质不同,故称后者为 Auer 样杆状小体或针状包涵体为好。Auer 样杆状小体与粗面内质网无明显相关,其来源尚不清楚,有人认为来源于溶酶体,也有认为是免疫球蛋白聚集或淀粉样蛋白。
2.结晶状包涵体
浆细胞结晶状包涵体形态学特点各不相同,有针状结晶包涵体、梭形结晶状包涵体、四角形结晶状包涵体、粉红色钻石形及长方形。免疫学和电镜检查证实结晶包涵体为免疫球蛋白异常合成且来源于粗面内质网。
3. Dutcher 小体
Dutcher 小体多为 1 ~ 2 个淡蓝色球状包涵体位于细胞核中。由于 Dutcher 小体极为少见,对其研究多限于形态学方面,其形成和来源尚有待进一步研究。
4.Russell 小体与 Mott 细胞
Russell 小体于 1890 年由 Russell[3]首次发现而得名,指出 Russell 小体是浆细胞内的多个球形包涵体。史敏等[2]发现多发性骨髓瘤的瘤细胞中多为 1 个深红或浅红色圆形 Russell 小体,也见有含众多球形包涵体的葡萄状浆细胞 。Mott 认为葡萄状细胞和桑葚细胞为一类细胞的不同名称,均称为 Mott 细胞。超微结构证实 Russell 小体由蛋白质组成,是位于粗面内质网内的具有一层膜的同源性物质,是不能降解的大量免疫球蛋白聚集,也不能从内质网中移出。Mott 细胞中的包涵体被认为是扩张的粗面内质网中空泡结构内的免疫球蛋白,因此,其与 Russell 小体意义等同,我们亦可将其称为 Russell 小体。
参考文献:
[1]汪薇,阎有功,张利方,石莉萍. IgD型多发性骨髓瘤实验室检查特征[J]. 临床血液学杂志,2015,01:16-18.
[2]史敏,李顺义. 浆细胞包涵体的名称与形态学特点[J]. 临床检验志,2011,05:371-372.
[3]Russell W. An address on a characteristic organism of cancer[J].BMJ,1890,2( 1563) : 1356-1360.









