凶险!血小板20.1,输不输?一张血片建奇功…
【前言】
作为实验室检验医师,我们深知血小板计数对临床诊疗的利害。因此,血小板减低,我们第一反应是,标本是否合格,其次是仪器的直方图和散点图是否有异常提示,再次是血涂片镜检复核,最后是结合患者诊疗信息综合分析。
对于临床大夫而言,血小板减低,恐怕最应该衡量的是输与不输血小板了,当然也要血库给才行哈。EDTA依赖性的假性血小板减少、巨大血小板引起的假性减低,这些当由实验室把好关;而血栓性微血管病(Thrombotic microangiopathy, TMA)、肝素诱导的血小板减少症(Heparin-induced thrombocytopenia, HIT)等,需要临床综合考虑病史、检查结果,加以权衡。
上述四种情况都不应输血小板,尤其是第三、四种,需格外谨慎!对于TMA,用北京协和医院王书杰教授的话来说,“血涂片,再怎么强调都不为过!”
【案例经过】
1.现病史:患者男性,45岁,1个半月前出现全身乏力,伴有活动后气促,偶有头晕,无皮下出血点,无头痛、耳鸣,无胸闷、心悸,无畏寒、发热、咳嗽、咳痰,无恶心、呕吐、腹痛、腹泻不适,在当地医院就诊,予输液、输红细胞、血小板等对症治疗(具体不详)后,症状稍好转;半个月前,上述症状较前加重,伴有全身出现散在瘀点,无鼻衄,无解黑便、解酱油尿,遂至我院就诊,门诊拟“贫血、血小板减少症”收入院。
2.既往史:2009年因头晕、乏力就诊,查血常规提示贫血及血小板减少,予血浆置换及输血治疗(具体诊疗不详),出院后坚持服药2个月(具体不详),全身乏力症状完全消失后自行停药。平素偶有刷牙时牙龈出血。否认高血压、冠心病、糖尿病史。2014年因车祸受外伤行开腹探查及左大腿钢板固定术。
3.个人史:吸烟20余年,10支/天。
4.查体:T:36.5℃,P:106次/分;神志清楚,慢性病容,皮肤巩膜中度黄染。
5.实验室检查:血常规特点:贫血、血小板减少,且红细胞分布宽度增高;凝血四项:基本正常,D-二聚体轻度升高;尿常规:潜血+3,尿蛋白+3,尿含铁血黄素试验阴性;肝功能:胆红素升高,以间胆为主;肾功能:尿素、肌酐升高,肾功能衰竭;抗核抗体阴性,抗双链DNA抗体阴性,输血前四项正常,叶酸:4.8ng/ml、B12:799.0pg/ml、血清铁蛋白:1930.47ng/ml。PNH(CD55,CD59)阴性;Coombs试验阴性。
相关检查详见下表1-3。
表1:患者血常规结果

表2:患者凝血功能结果

表3:患者生化结果

5.处理经过:
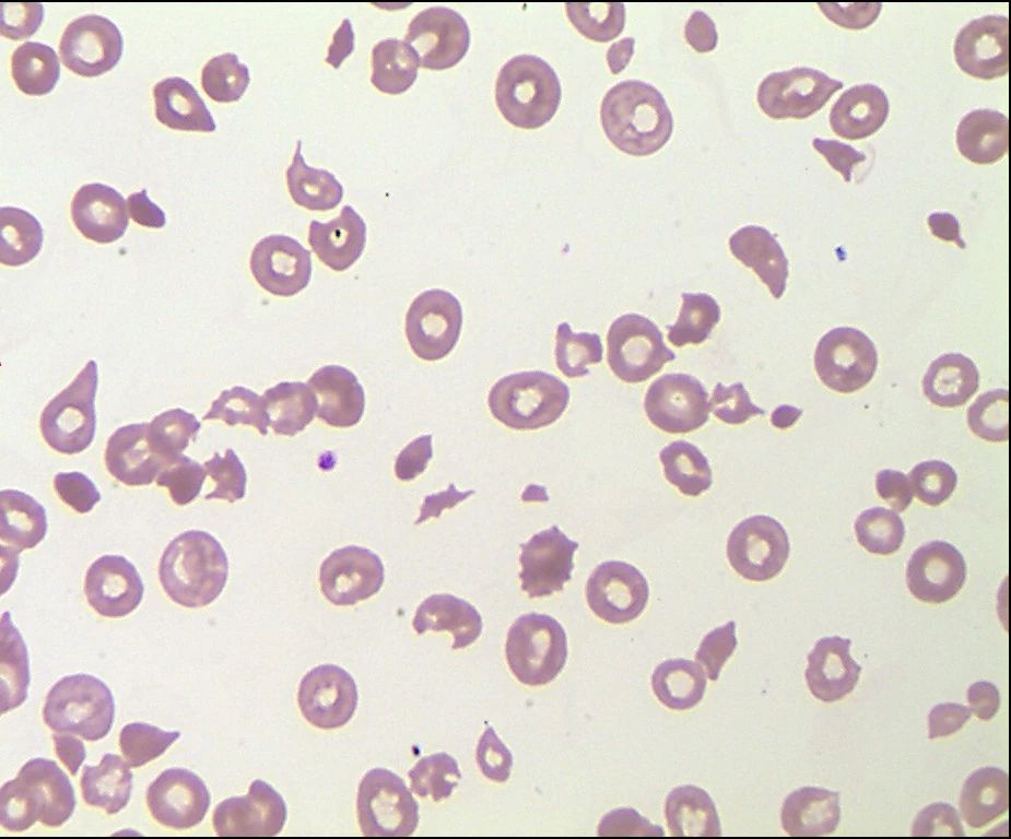
①血涂片:这个患者的血常规血小板很低,但是红细胞分布宽度却很高,引起了我们的好奇,毫无疑问,必须立刻涂片镜检。发现血小板的确减少,并有不少红细胞碎片,比例约占9%,这给了我们强烈的信号:这个血小板不简单!必须重视!

患者血涂片,红细胞碎片约占9%
②五联征:查看生化检查,肝功能以间胆为主,乳酸脱氢酶升高,考虑存在溶血性贫血;肾功能受损严重;存在神经精神症状;五联征占了四联(除了发热),这不提示患者可能存在血栓性微血管病变吗?
③输血小板禁忌症:立即联系临床,告知我们的怀疑,建议慎重输注血小板。无独有偶,临床大夫也高度警觉,已经怀疑并外送了血管性血友病因子裂解酶(ADAMTS13)活性。有趣的是,临床大夫问:你怎么也想到这个?答:血小板低的,我们每天都有很多,但是他的RDW升高成功地吸引了我的注意,再加一张血涂片,心里更有底了。
④特异性指标协助诊断:我们也同时送检了血样到武汉同济医院,三天后结果回报:ADAMTS13活性<1%(参考区间65-135%,小于10.0%提示严重缺乏),ADAMTS13抑制物:弱阳性,提示这个可能是一个获得性的血栓性血小板减少性紫癜(TTP)。
【案列分析】
1.什么是血栓性微血管病(TMA)?什么是血栓性血小板减少性紫癜(TTP)?什么是五联征?
TMA是一组以微血管病性溶血性贫血、血小板减少、微血管中血小板血栓形成造成器官受累为主要临床表现的急性综合征。发病率2.7%-12.0%,经典类型TMA的诊断包括:TTP、溶血尿毒症综合征(HUS),当然DIC也是。
TTP的病因,归根结底,是血管性血友病因子(VWF)的功能亢进,引起血小板聚集形成微血栓。VWF的作用有两条:一是介导血小板与破损血管内皮之间的黏附止血,二是保护因子Ⅷ的稳定。

ADAMTS13的作用以及TTP的发病机制
VWF是一个多聚体,它越庞大,功能就越强,为了与之抗衡形成平衡,血浆中有一种专门剪切VWF的酶,叫血管性血友病因子裂解酶(也即ADAMTS13)。而对于TTP而言,VWF功能亢进的原因,主要是ADAMTS13减少所致,减少的原因有两类:一是遗传性,编码ADAMTS13的基因突变引起其活性减低;二是获得性,血浆中存在ADAMTS13抗体,当然,这个获得的原因有很多,比如感染(HIV、志贺杆菌),胰腺炎,药物(环孢素A、抗肿瘤药物、抵克利得、波立维、奎宁),胶原-血管疾病,妊娠与产褥期,肿瘤,骨髓移植等。
TTP发病急骤,病情凶险,如不及时并恰当救治,病死率可高达90%。其基本病理特征是微血管血栓,继发引起五联征:①微血管性溶血性贫血,②血小板减少性紫癜;③中枢神经系统症状,当微血栓累及大脑皮质或脑干,可表现为头痛、精神异常、意识模糊、谵妄、惊厥、抽搐、失语、嗜睡、甚至昏迷等,④肾脏损害,由于肾小球毛细血管及小动脉微血栓形成,可导致蛋白尿、镜下血尿、管型尿、血压升高、重者发生急性肾衰等;⑤发热,可能与下丘脑体温调节中枢受损、组织坏死、溶血、合并感染、血细胞破坏释放致热源等有关。
2.TTP的红细胞碎片是怎么产生的?为什么该病不宜输注血小板治疗?
ADAMTS13由肝脏合成,并以游离形式存在于正常血浆中,当ADAMTS13活性降低,不能降解VWF,从而使血小板过度聚集,导致微血栓形成,引起血小板消耗性减少,继发出血,同时微血管狭窄影响红细胞通过,导致后者变形破碎,破碎的红细胞在血常规中会表现为红细胞分布宽度(RDW)升高。
因此,该病虽然表现为血小板减少,但实际上是血栓形成,是血小板血栓消耗了血小板,血小板输注可能加剧微血管血栓性病变,导致临床症状恶化,应列为禁忌症,仅在有严重出血或需手术等特殊情况下才考虑输注血小板。一般该病以血栓为主,很少严重出血。主要治疗手段是血浆置换、免疫抑制。
3.面对凶险的TTP,作为检验医师如何发挥作用?
“血涂片,再怎么强调都不为过!”
正如我们前言所言,血常规发现血小板计数减低,毫无疑问是需要涂片镜检的,但倘若涂片镜检只看到减低的血小板,而无视破碎的红细胞提示微血管的病变,那可能更加不会去想到间接胆红素、乳酸脱氢酶、尿素和肌酐了。因此,涂片镜检复核血小板并认识破碎红细胞,结合疾病的病理生理,全面综合地分析各项实验室指标、临床特点,方能发挥一张血片建奇功的功效。
武汉同济医院唐宁老师曾经向我们介绍过他们的经验,检验科血小板诊断MDT主动筛查TTP流程,发现血小板减少且红细胞碎片增多,通过结合其他实验室检查,并了解患者临床状况,能主动发现TTP,极大地减低TTP的病死率。

武汉同济医院检验科血小板诊断MDT主动筛查TTP流程
关于HUS和TTP,补充一点,两者的临床表现极为相似,治疗方法也相似,甚至常常将这两种病合称为TTP-HUS综合征,HUS以肾衰竭更显著,主要病变在肾脏,神经系统症状很少,而TTP的病变更广泛,但归根结底,他们的发病机制不一样,TTP是严重ADAMTS13缺乏的结果,由于循环自身抗体导致免疫介导,或由ADAMTS13突变引起。HUS在产生志贺毒素的细菌感染后发展,或者由于编码补体系统蛋白的基因突变而导致补体系统的替代途径过度激活。
鉴别要点也在于ADMATS13,倘若该案例的ADAMTS13是正常的,恐怕也只能诊断为HUS了。所以,TTP和HUS的鉴别,你说检验医师有多重要呢?
【总结】
总结谈两点:一是有心,也就是责任心,血小板降低能用心复片镜检,确认并查找异常结果的真相;二是有力,也就是有能力,认识破碎红细胞,并与实验室各项检查相结合分析,当然,这有赖于对疾病的病理生理机制的认识。
“同学们,今天上课前,我首先送给大家四个字:有心有力……”
额,张老师又在洗脑了……
【参考文献】
[1]李家增,贺石林,王鸿利.《临床血栓病学》[M]上海:上海交通大学出版社,2014
[2]中华医学会血液学分会血栓与止血学组.血栓性血小板减少性紫癜诊断与治疗中国专家共识(2012年版)[J].中华血液学杂志,2012,(11):983-984.
[3] Kremer Hovinga, J. A., Heeb, S.R., Skowronska, M. & Schaller, M.Pathophysiology of thromboticthrombocytopenic purpura and hemolytic uremic syndrome[J].Journal of thrombosisand haemostasis : JTH.2018,16(4):618-629.
来源:凝血6因子

