白血病细胞形态学检查的体会
解放军总医院医学检验中心 —— 康慧媛 李绵洋

李绵洋,解放军总医院医学检验中心副主任医师、副教授,医学博士,硕士研究生导师。主要从事骨髓细胞形态检验与骨髓活检病理诊断、临检血液学检验。
现任中华医学会检验分会青年委员、北京医学会检验分会青委会秘书、北京医学检验学会血液体液分会副会长、北京市临检中心血细胞检验诊断专家委员会副主任委员、全军检验学会青委会常委等学术兼职,《临床检验杂志》青年编委,国家认可委医学实验室认可评审员。
白血病是最常见的血液系统肿瘤,形态学检查仍是白血病MICM(细胞形态学Morphology、免疫学Immunology、细胞遗传学Cytogenetics、分子生物学Molecular)诊断模式中的首要诊断手段,以其直观性、时效性、经济性拥有不可替代的地位。同时,形态学检查因其较强的主观经验性,对人员能力要求高,不仅需要骨髓形态学、临床血液病学及相关免疫学、遗传学等知识储备并融合;还需要大量病例积累以丰富诊断经验。
急性白血病,最基本的是急性淋巴细胞白血病(ALL)和急性髓细胞白血病(AML)分型,对于患者意味着及时恰当的治疗,是关乎生命的诊断结果。在AML和ALL的形态学鉴别诊断中,骨髓涂片细胞学瑞氏染色检查是最重要的辨别手段。对于急性白血病形态学检查,白血病性原始细胞的识别是需要掌握的最基本知识和能力。
粒系原始细胞特点:胞体中等大小,约15μm,比较规则的圆形或椭圆形;胞核圆或椭圆形,染色质呈细颗粒状,分布均匀,核膜薄;核仁一般比较明显,边清楚,数量较多,常2-6个;胞质量少,染浅蓝色、明亮天蓝色,均匀一致,无颗粒,或少量细小的紫红色颗粒(Ⅱ型原始)。
单核系原始细胞特点:胞体较原粒细胞稍大,圆形或略不规则形;胞核比原粒细胞大,圆或椭圆形,多数病例可见折叠、凹陷,常偏位分布,核染色质纤细网状;核仁1-3个,多数为1个明显的大核仁;胞质较丰富,有的边缘不规则,蓝或灰蓝色,不透明、无颗粒,或少量灰尘样细小颗粒(Ⅱ型原始)。
淋系原始细胞特点:胞体较原粒细胞稍小,圆形;胞核圆或椭圆形,核染色质丰富,结成稍粗的颗粒状;核仁1-2个,较明显,核仁周围核染色质致密;胞质量少,亮蓝色,呈围于核周的狭带状,核周淡染区明显。
部分急性白血病细胞具有典型的细胞系列特征,易于鉴别,但实际工作中,多数病例细胞所呈现的系列特征未必很典型,细胞化学染色是常用的形态学辅助检查手段。
急性白血病首要细胞化学染色是过氧化物酶(POX):可用于鉴别AML和ALL。通常ALL细胞POX呈阴性,AML细胞POX呈阳性,判断标准在教材中常设定为3%。这一标准现在看来不是绝对的,因为实际工作中有相当一部分AML亦呈阴性,特别是以原始单核细胞为主的未分化型急性单核细胞白血病(AmoL)细胞,也有ALL伴有部分髓系表达或双克隆白血病细胞病例存在。
第二是糖原染色(PAS):也称过碘酸雪夫染色,可根据其阳性特征鉴别AML和ALL细胞。通常ALL细胞PAS染色呈阴性,或颗粒状阳性,细胞背景干净,紫红色颗粒分明,可覆盖细胞核上;急性粒细胞白血病细胞PAS染色呈弥散状,细胞质内呈弥散紫红色;AmoL细胞PAS为弥散颗粒状阳性,细胞质内呈淡的弥散紫红色,细胞膜附近可见粗大紫红色颗粒。
第三是特异性酯酶(CE):可用于鉴别急性粒细胞白血病和AmoL。通常急性粒细胞白血病细胞CE呈阳性;AmoL细胞CE呈阴性。但仍有少部分以幼单为主的AmoL细胞CE染色亦呈阳性。
第四是非特异性酯酶(NAE):NAE的NaF抑制试验可用于鉴别急性粒细胞白血病和AmoL。通常急性粒细胞白血病细胞NAE染色不受NaF抑制;AmoL细胞NAE染色可受NaF抑制。
还有更多的细胞化学染色可用于急性白血病细胞类别的判别,这些化学染色结果在急性白血病形态学分型诊断的实际工作中给予检验人员很多鉴别性信息,合理地应用化学染色,有助于提高形态学诊断的水平和能力。
以下就几个平时工作中遇到的病例,分享其形态学诊断过程的经验和心得。
病例一:急性白血病最首要的分型是鉴别ALL和AML。
患者张某,女,48岁,全血减少三年,加重两周就诊。
血常规:WBC 2.24×109/L、Hb 85g/L、PLT 77×109/L。
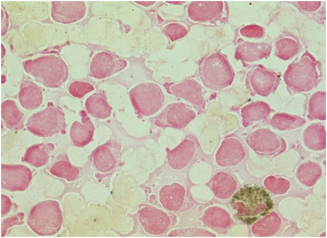
骨髓细胞形态(BM):原始细胞占74.0%,其胞体多中等大小,部分偏大,较规则;胞核多数规则,有的可见双核,可见凹陷、折叠、扭曲;染色质略粗,略疏松,多数细胞可见核仁1-2个;浆量中等或略丰富,染灰兰色,可见空泡。
该患者AL细胞形态:胞体多中等大小,较规则;胞核多数规则,可见凹陷、折叠、扭曲;染色质略粗,略疏松,多数细胞可见核仁1-2个,兼具ALL和AML形态特点,不易区分。该患者AL细胞POX阳性率:0%。此时并不能轻易认定该患者为ALL。需谨记如前文提及以原始单核细胞为主的AmoL细胞POX染色可呈阴性的特点。图1.1为其BM白血病细胞瑞氏染色,图1.2为其POX染色。

图1.1 病例1 瑞氏

图1.2 病例1 POX
进一步化学染色,包括PAS、CE、NAE及NaF抑制试验,如图1.3-1.6。该患者白血病性原始细胞PAS阳性率:100%,弥散颗粒状,特点是胞质有一层淡粉色的弥漫背景色,胞质边缘可见较粗大的紫红色颗粒。这一特征符合AmoL细胞的PAS染色特点。CE阳性率:0%,NAE阳性率:66%,NAE-NaF抑制后阳性率:12%。这些结果符合AmoL的白血病细胞特点,而不符合ALL细胞的化学染色特征因此,该患者应诊断AmoL而非ALL。图1.3为AL细胞PAS染色,图1.4为AL细胞CE染色,图1.5为AL细胞NAE染色,图1.6为AL细胞NAE-NaF抑制试验。

图1.3 病例1 PAS

图1.4 病例1 CE

图1.5 病例1 NAE

图1.6 病例1 NaF
形态学检查体会:瑞氏染色下白血病细胞形态特征不典型时,不能仅依据POX判断为AML还是ALL。部分AmoL细胞可呈POX阴性 。此时要结合PAS及NAE、NAE-NaF三种染色检验结果明确急性白血病类型。
以下是较典型ALL和AmoL细胞瑞氏染色及化学染色形态图片。图1.7-1.9为ALL细胞形态,图1.10-1.14为AmoL细胞形态。

图1.7 ALL 瑞氏

图1.8 ALL POX

图1.9 ALL PAS

图1.10 AmoL 瑞氏

图1.11 AmoL POX

图1.12 AmoL NAE

图1.13 AmoL NaF

图1.14 AmoL CE
病例二:AML进一步区分亚型中最重要的是鉴别急性多颗粒早幼粒细胞白血病(APL)。
患者高某,男,51岁,乏力1月,发热1周。
血常规:WBC 2.3×109/L、Hb 66g/L、原幼14/20、PLT 16×109/L。
骨髓细胞形态:原幼细胞占86.4%,其胞体大小不一,略不规则;胞核圆形、椭圆形或不规则,可见切迹、折叠、凹陷;染色质颗粒状,稍疏松,部分细胞可见1-3个核仁;胞浆量少或中等,染蓝色或灰色,内有粗细不一的嗜天青颗粒,多数浆缘有伪足突出。图2.1为病例2的白血病细胞瑞氏染色。

图2.1 病例2 瑞氏
该患者瑞氏染色AL细胞形态不易区分APL和AmoL。按照通常情况, APL细胞形态为:以多颗粒早幼粒细胞为主,多颗粒早幼粒细胞与正常早幼粒细胞形态不同,胞体常呈椭圆形;核偏于一侧,核形常有变异(如不规则、切迹、折叠、凹陷、肾形、哑铃形、分叶形等);胞质中有异常的嗜天青颗粒,颗粒或粗大或细小,常可见多个Auer小体排列散乱或呈束状,称为柴捆状Auer小体。其中柴捆状Auer小体是APL较典型的特征。该患者白血病细胞形态:胞体大小不一,略不规则;胞核可见变异;胞质内有粗细不一的嗜天青颗粒,未找到Auer小体。若按照细胞形态描述诊断,很容易将该患者诊断为AmoL(原始单核细胞形态见前述)。
加做化学染色POX、CE、NAE、NAE的NaF抑制试验,如图2.2-2.5。APL化学染色特征:POX及CE染色强阳性,通常POX阳性率达90%以上,CE阳性酶型为弥散状,且NaF并不能抑制NAE染色。该患者白血病细胞POX阳性率:100%,强阳性,白血病细胞更倾向于粒系来源。CE阳性率:38%,弥散状,是较典型的APL细胞的CE酶型。同时白血病细胞NAE阳性率:42 %,NaF抑制后阳性率:36%,NaF并不能抑制NAE染色,不符合AmoL化学染色特征,更倾向于APL化学染色特征。图2.2为白血病细胞POX染色,图2.3为CE染色,图2.4为急性白血病细胞染色NAE,图2.5为急性白血病细胞NAE-NaF抑制试验。

图2.2 病例2 POX

图2.3 病例2 CE

图2.4 病例2 NAE

图2.5 病例2 NaF
形态学检查体会:瑞氏染色APL细胞形态特征不典型时,不能仅依据柴捆状Auer小体作为诊断APL分型的唯一证据。部分APL细胞形态不典型,此时要结合POX、CE及NAE、NAE-NaF三种染色检验结果明确APL诊断。APL与AmoL在临床治疗上有很大区别,APL极易伴发严重DIC,因此,APL及时准确诊断对挽救患者生命非常重要,现常将该类型急性白血病的初步诊断作为临床检验危急值向临床汇报。
以下是较典型APL细胞瑞氏染色及化学染色图片(图2.6-2.11)

图2.6 APL 瑞氏

图2.7 APL POX

图2.8 APL PAS

图2.9 APL CE

图2.10 APL NAE

图2.11 APL NaF
病例三:除了急性白血病,慢性白血病的鉴别诊断亦很重要。
患者史某,男,39岁,WBC升高1月就诊。
血常规:WBC 23.72×109/L↓、Hb 143g/L↓、PLT 259×109/L、单核40%。
骨髓:骨髓增生极度活跃,G/E=25.4:1。粒系占91.6%,各阶段可见,原始细胞约占6.8%,早幼粒、中幼粒比例增高,余比例大致正常。嗜酸、嗜碱细胞可见。红系占3.6%,比例减低。成熟红细胞形态未见明显异常。淋巴细胞占3.6%。单核细胞占1.2%,形态未见明显异常。全片(1.0cm×1.0cm)见巨核细胞216个,各型可见。血小板散在可见。血片中性粒细胞碱性磷酸酶染色阳性率:1%(3-50%)、积分:1分(3-73分)。
图3.1为骨髓的白血病细胞瑞氏染色,图3.2为外周血白血病细胞瑞氏染色。

图3.1 病例3 瑞氏 BM

图3.2 病例3 瑞氏 PB
该患者按照CMML诊断标准:(1)持续性单核细胞增多,>1×109/L。(2)Ph(-),BCR-ABL1(-)。(3)PB或BM原始细胞<20%。(4)髓系中1个或1个以上细胞系别有发育异常;如无发育异常或极微,但其它条件符合,且有以下表现者,仍可诊断为CMML:骨髓细胞有获得性克隆性细胞遗传学异常,或单核细胞增多已持续至少3个月,而且除外可引起单核细胞增多的其他原因。该患者外周血单核细胞增多,为9.49×109/L,远>1×109/L。若按照第(1)条标准,该患者容易判断为CMML。
首先,应注意第(1)、(4)条标准单核细胞增多还有持续至少3个月的要求,第二条还有Ph(-),BCR-ABL1(-)。的要求。患者就诊时仅1月病程,伴有感染,经基因和染色体检查,Ph(+),BCR-ABL1(+),且为特殊类型BCR-ABL1(+)。因此,患者仍应诊断为BCR-ABL1(+)CML。其次,看患者涂片中单核细胞形态,与典型CMML常出现的异常单核细胞不同,更倾向于反应性单核细胞增多的形态。第三,患者骨髓中单核细胞比例仅为1.2%,且无原始、幼稚单核细胞,这些特征均不符合典型的CMML。
形态学检查体会:CML和CMML治疗方案差异大,因此正确的诊断与鉴别诊断尤其重要。因此不能仅靠瑞氏染色细胞形态的某一特征就轻易地给出形态学检查意见,还需要结合临床情况及综合考虑MICM诊断模式,才能做出更准确的形态学诊断。
以下是较典型CML和CMML细胞瑞氏染色BM和PB细胞形态图片。图3.3-3.4为CML细胞形态,图3.5-3.6为CMML细胞形态。

图3.3 CML BM
图3.4 CML PB

图3.5 CMML BM
图3.6 CMML PB
以上虽然是3个较常见的病例,但形态上均存在“不典型”之处。细胞形态学检查除了在相关知识背景的基础上对急性白血病细胞瑞氏染色和化学染色严谨分析外,尚需以MICM诊断模式为基石,特别是流式的CD标志对于判断白血病原始细胞的类别,基因及遗传学检查对于疾病治疗方案的整体把握,并结合临床情况,才能做出最准确的诊断。

