一例少见的非白血病性肥大细胞白血病
肥大细胞白血病(MCL)是系统性肥大细胞增多症(SM)的一种少见亚型。根据最新的 2016 年版 WHO 血液和淋巴组织肿瘤分类标准,该病的诊断需满足: 系统性肥大细胞增多症的标准、骨髓活检示不典型、不成熟的肥大细胞弥漫性浸润,常为紧压性以及骨髓涂片中肥大细胞≥20%[1]。其细分为典型的MCL(外周血涂片中肥大细胞数占白细胞总数的比例≥10%) 和非白血病性肥大细胞白血病(<10%),且常无皮肤病损[1]。现分享一例我科细胞室近期诊断的非白血病性肥大细胞白血病,共同学习。
患者:男 75岁 主诉:腹胀20余天
简要病史:
20余天前无明显诱因出现腹胀,表现为胃部胀满感,反酸,进食后加重,半月前腹胀较前加重,食量明显减少,伴有大汗,自行服用健胃消食片等药物,症状不缓解,不伴排气排便停止,无腹痛、腹泻,无恶心、呕吐,无发热、寒颤;6天前偶然发现左侧季肋部皮下瘀斑。5天前自行口服中药,成分不详。腹胀症状仍不缓解。为进一步诊治,来院就诊。既往高血压病史20年,最高160/90mmHg,口服“结沙坦”,血压控制可;室性早搏20年,冠心病、心脏扩大10余年,心房颤动8年、心力衰竭2年,口服“华法林钠片、倍他乐克、单硝酸异山梨酯片、阿托伐他丁、螺内酯、呋塞米各1片,qd”。查体:左侧季肋部皮下瘀斑,大约5cm*5cm,心率128/分,节律不齐,第一心音强弱不等,左侧坐骨结节压痛,余未见明显异常。
诊疗过程:
入院后完善各项检查,部分结果如下:
血常规:WBC6.84*109/L、RBC3.8*1012/L、HB130g/L、PLT48*109/L
生化:urea12.8mmol/L、crea152umol/L、ua463umol/L,心肌酶、肝功、血糖,电解质等未见明显异常。
尿、大便常规:未见明显异常。
凝血功能:PT120S(大于仪器所测最大值)、INR17.3、APTT176.1S、FIB404mg/dl、TT16.0S、D-二聚体199ng/ml、FDP1000ng/ml。
心脏彩超:左房扩大。
检查结果主要问题为凝血功能异常、血小板减低。分析患者长期服用华法林,考虑药物引起凝血异常可能性大,停用华法林、给予VK拮抗,后经积极对症治疗,患者腹胀好转,凝血功能逐渐恢复正常,但患者多次查血常规血小板波动在30-60*109/L之间,凝血功能恢复后又出现反复。多科会诊后,不排除血液系统疾病。需完善骨穿、活检及相关细胞学检查明确诊断。
几经波折,至此方向才逐渐明确,元凶也已渐渐浮出水面。当时笔者和细胞室老师看到病人骨穿涂片时也是很吃惊。毕竟该病太少见。血液病相关检查所有结果如下:
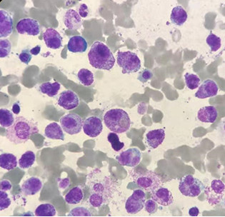
骨髓涂片:





该病人骨髓未附带血涂片,所以用其血常规血涂片,外周血分类:中性晚幼粒2%、杆状核8%、分叶核74%、淋巴10%、单核5%、嗜碱1%。
流式结果:

染色体结果:

36种融合基因结果:

58种突变基因结果:

骨髓活检结果:

总结:
2016 年版 WHO 分型标准,系统性肥大细胞增生症的诊断需满足一个主要标准和一个次要标准或至少满足 3 个次要标准。
主要标准包括: 骨髓活检和( 或) 其他真皮以外组织切片有多灶性密集的肥大细胞浸润( 每个聚集点的肥大细胞≥15 个) 。
次要标准包括:
(1) 骨髓涂片肥大细胞中的不典型细胞( Ⅰ型和Ⅱ型) >25%,或内脏器官切片浸润的肥大细胞>25%为纺锤状;
(2) 骨髓或其他真皮以外组织检出 KIT 基因第816 位密码子点突变;
(3) 骨髓、外周血或其他真皮以外组织的肥大细胞表达 CD25 和( 或) CD2;
(4) 血清类胰蛋白酶基线水平>20 ng /mL ( 存在无关的髓系肿瘤时该参数无效)
细胞形态学:不典型肥大细胞Ⅰ型:胞质表面凸起(纺锤状),卵形核,胞质少颗粒。不典型肥大细胞Ⅱ型:不成熟或成熟细胞,双核或多核。
MCL临床上除有白血病的一般表现如贫血、出血、感染发热、肝脾淋巴结肿大外 ,尚有较特异的表现: 由于肥大细胞颗粒内活性物质释放 ,如组织胺、肝素 , TNF-α等。这些物质可引起一系列变态反应 ,如患者突然出现面部潮红、头痛、支气管痉挛、呼吸困难、心悸甚至休克。 高浓度的组织胺可使胃酸分泌增加 ,使消化性溃疡发病率增高甚至出现穿孔[2]。本例患者临床表现腹胀以及随病程一直存在的凝血功能反复、血小板减少的原因考虑还是与肥大细胞骨髓浸润及颗粒活性物质如组织胺和肝素的释放有关。尽管异常肥大细胞表达 CD2 和 CD25 是其一大特点,但该特点在肥大细胞白血病患者中并不具备普遍性[3]。本例患者流式也是CD2、CD25双阴。该病人诊断为非白血病型肥大细胞白血病的依据为:1.病人骨髓活检提示弥漫性的肥大细胞浸润,流式及免疫组化均提示该类细胞表达CD117,而且甲苯胺蓝染色阳性。表明该类细胞为肥大细胞,骨髓涂片示该类细胞主要为Ⅰ型和Ⅱ型肥大细胞。这些证据满足了系统性肥大细胞增多症诊断标准中的一个主要标准和第一条次要标准。2.骨髓涂片中肥大细胞比例达到51.5%,大于20%。满足了MCL的诊断标准。3.外周血涂片中肥大细胞数占白细胞总数的比例<10%,且无皮肤病损。所以明确诊断为非白血病性MCL。后续病人虽积极对症治疗,化疗。但病人年龄偏大,且有较多的其他系统疾病,最终还是未能救治成功,患者从入院到去世仅一月余。
参考文献
[1]Valent P,Akin C,Metcalfe DD. Mastocytosis: 2016 updated WHO classification and novel emerging treatment concepts[J].Blood,2017,129( 11) : 1420-1427.
[2]朱文波,周岩,刘英华.非白血病性肥大细胞白血病1例报告并文献复习[J].中国误诊学杂志,2009,9(30):7524.
[3]和迎春,李正金,刘建婷,龙安雄.非白血病性肥大细胞白血病1例并文献复习[J].临床检验杂志,2018,36(09):717-719.

