谁动了我的阳性球菌?涂片见那么多的细菌,培养怎么不长……
忙碌的下午准备下班之际,感染科送来了一份胸水标本,外观乳白色、浑浊糊状、脓性,我按部就班做好一般细菌培养和胸水常规,并推两张片分别进行瑞氏染色和革兰染色,待干后镜检。革兰染色片找到大量白细胞、细小革兰阳性球菌和少量革兰阴性杆菌,同时存在中性粒细胞吞噬细菌的情况。瑞氏染色找到大量白细胞、成团细小球状菌及少量杆状菌,细胞手工分类:中性粒细胞99%,淋巴细胞1%,镜检后报告临床医生找到革兰阳性球菌和革兰阴性杆菌以及细胞分类结果。
但次日当我们看这位患者的一般细菌培养时,血平板和麦康凯只见到一种菌落生长,在血平板上的形态是圆形、扁平 、光滑、湿润的,菌落涂片染色为革兰阴性杆菌。标本培养前涂片的大量细小革兰阳性球菌怎么不长呢,反而少量的革兰阴性杆菌长了,阳性球菌去哪了呢?我满心疑惑。
案例经过:
女性患者,60岁,胸水培养结果与原始涂片不相符

图1 (标本培养前涂片,显微镜×100瑞氏染色)

图2( 标本培养前涂片,显微镜×100革兰染色)

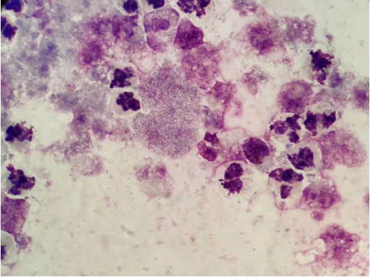
图3(培养24小时菌落涂片 显微镜×100革兰染色)
标本培养24小时后的革兰阴性杆菌经法国ATB细菌鉴定仪IAF020356鉴定为恶臭假单胞菌。这是一株耐碳青霉烯类的细菌,对亚胺培南、美洛培南均耐药,同时氨曲南、环丙沙星、左氧氟沙星、哌拉西林、替卡西林、替卡西林/克拉维酸均耐药,对阿米卡星、头孢他啶、多粘菌素E、头孢吡肟、庆大霉素、妥布霉素、哌拉西林/他唑巴坦是敏感的。
病例摘要:患者自诉2个月前开始出现咳嗽、咳痰、胸闷,呼吸困难,本次以胸闷,呼吸困难就诊入院, 初步诊断:1、继发型肺结核 复治;2、左侧包裹性液气胸。3、尿路感染
实验室检查:
血常规:白细胞8.7×109/L,红细胞2.93×1012/L ↓血红蛋白浓度67g/L↓,血小板数546×109/L↑,中性粒细胞百分比72.9%。
生化检查:降钙素原 0.43 ng/ml↑,肌酐 112 umol/L↑、尿酸 598 umol/L↑,结核抗体阳性。
尿常规:尿蛋白 2+、隐血 2+、白细胞 3+、红细胞 150 个/ul、白细胞 1103 个/ul,中段尿培养出大肠埃希菌;
胸水常规:外观乳白脓性混浊,无凝块,李凡他试验:(3+),白细胞35100×106/L,红细胞:0.5×109/L,中性粒细胞99%,淋巴细胞:1% ,胸腹水生化:总蛋白 18.2 g/L、腺苷脱氨酶 346 U/L、乳酸脱氢酶 1488 U/L、葡萄糖测定 0.93 mmol/L。
胸水一般细菌涂片:革兰阴性杆菌:(+),革兰阳性球菌:(+ )。未找到抗酸杆菌。
讨论
急性脓胸未及时治疗或处理不当,病程超过三个月则形成慢性脓胸,因长期脓液渗出,会有低热、消瘦、贫血,低蛋白血症等慢性全身中毒症状,还伴有气促,咳嗽、咯脓痰等症状,慢性脓胸感染的病原菌多为混合性细菌感染,在王琳[1]研究的上海市肺科医院慢性脓胸的病人中,细菌性感染达到19%;杨帆等在急性脓胸中发现混合感染占7%[2],在王成科的研究的31例慢性脓胸中,慢性结核性脓胸合并混合感染22例,细菌性慢性脓胸9例[3]。
结合本病人的情况,在入院前已经肺结核病多年,入院前2月出现出现咳嗽、咳痰、胸闷,呼吸困难症状,检查符合慢性结核性脓胸合并混合感染,那么为何原始标本涂片与培养结果存在差异呢?我们一一做出以下排查:
1.检查标本。标本用无菌试管密封送检,取同批高压的空白玻片与涂有原始胸水标本的玻片采用相同试剂同时进行革兰染色,镜检空白玻片未见到细菌。标本确实存在革兰阳性球菌,那么细小革兰阳性球菌到哪里去了?
2.查阅相关文献,涂片阳性培养阴性的原因主要有:
(1)细菌被脓细胞吞噬后,白细胞及死亡后的细菌尸体释放出某些物质抑制了细菌的繁殖[4];
(2)细小革兰阳性球菌为厌氧菌,我们使用普通的培养基和在一般培养环境下,导致厌氧菌无法生长;
(3)细小革兰阳性球菌为苛氧菌、缓慢生长菌或 L 型菌,用常规条件培养,可能会因为培养基营养不够、培养时间短、培养环境不适宜等因素而不生长;
(4)标本采集前未停用抗菌药物,患者体内残存的抗菌药物抑制了细菌的生长;
(5)厌氧菌标本采集、运送等技术操作不当,导致脆弱细菌未及时接种培养,放置在自然环境中时间过长都可造成细菌的死亡,而使培养出现假阴性[5]。
患者入院后给予了清热化痰、平喘解痉等治疗,按肺结核复治方案用药,并按恶臭假单胞和大肠埃希菌的药敏选用头孢他啶及阿米卡星抗感染治疗,中途曾出现血红蛋白57g/L给予输注同型悬浮红细胞2U。治疗后一个月后病情好转,肺部病变较前有吸收,患者仍有咳嗽时要求出院。出院后遵医嘱继续进行抗结核治疗。随访半年后咳嗽消失,血红蛋白109g/L。
本案例中对患者使用抗生素是头孢他啶,此药对革兰阳性菌和阴性菌以及厌氧菌株均有较强的杀菌作用,结合病人治疗方案及治疗愈后情况,我们反推本案例的细小革兰阳性球菌为苛养菌、厌氧菌可能性大,因本实验室使用常规条件培养,培养基营养不够,培养时间短,培养环境不适宜等因素而不生长。在今后工作中,若出现涂片染色找到两种细菌,培养却只有一种细菌生长类似本案例的情况,我们应适当延长培养时间,有条件实验室转种厌氧培养基,放置厌氧坏境培养,同时微生物检验人员看培养结果时注意结合涂片结果,防止漏检,提高苛养菌、厌氧菌的检出率。
总结:
脓胸患者病情重、病程长,是一种比较顽固的疾病,不易治愈,而且容易复发,医疗费用高,大多数患者的生活质量受到极大的影响。抗生素抗感染、胸腔穿刺抽积液和胸腔置管引流术是最初主要治疗手段。但混合感染多提示预后不良,多重细菌感染和细菌培养阳性是脓胸患者住院死亡的独立危险因素[2]。原始标本直接涂片染色镜检不仅可以检查送检标本质量是否合格,还可监测是否与细菌培养结果相一致,以防漏报错报,从而提高患者治疗的有效率性,缩短病程,节约医疗经费。因此在平时实践工作中应严格执行,让涂片与培养有机结合,为临床提供更及时准确的结果,让检验成为临床的好帮手,好拐杖!
参考文献:
1.慢性脓胸患者生活质量影响因素分析[J]. 中国防痨杂志, 2016, 38(12):1082-1087.
2.急性脓胸的治疗及临床特征分析 广东医学2015年2月第36卷第3期 杨帆胡奕 戚维波 赵俊杰 张雁飞 浙江省嘉兴市第一医院胸外科(314000)
3.杨宗夫, 张祥英, 范进贤,等. 保留壁层纤维板的胸廓成形术治疗慢性脓胸33例[J]. 中华胸心血管外科杂志, 2004, 20(6):373-373.
4.邓宁. 培养前标本涂片检查在临床辅助诊断中的应用评价[J]. 甘肃医药, 2012, 31(3):179-181.
5.骆永年, 梁捷. 细菌培养标本涂片镜检的意义[J]. 中国医药指南, 2010, 08(20):70-71.

