粪类圆线虫感染一例
粪类圆线虫感染一例
腾冲市人民医院检验科 段春艳
粪类圆线虫是一种兼性寄生虫,寄生世代的成虫主要寄生于宿主(如人、狗、猫等)小肠内,幼虫可浸入肺、脑、肝、肾等组织器官,引起粪类圆线虫病。粪类圆线虫的致病作用与其感染程度及人体健康状况,特别是机体免疫功能状态有密切关系。人感染粪类圆线虫后,可有如下表现:由于存在有效的免疫应答,可无临床症状,如慢性自身感染持续存在(可长达数十年),可间歇出现胃肠症状;在长期使用激素或艾滋病人中可见播散性超度感染,患者可因严重衰竭而死亡。故粪类圆线虫是一种机会性致病寄生虫【1】 。2020年9月15日我看到了一例,也是工作以来首次看到的病例。现分享给同行,互相学习,提高寄生虫认知能力。
患者女,54岁,务农,有类风湿关节病史,常服双氯芬酸,患者自诉近2天来无明显诱因出现上腹不适,腹痛,伴纳差,每天进食量不到正常1/3,无头痛、胸痛、胸闷、气促、呕血、呕吐、畏寒、发热、咳嗽等症状,大便少,小便正常,T36.6℃R20次/分P110次/分BP110/80mmHg,一般情况差,急性病容,皮肤黏膜色泽无苍白,无黄疸、肝掌及蜘蛛痣,心肺无异常,腹部平坦,未见腹壁静脉曲张,全腹软,无压痛,无反跳痛及腹肌紧张,肝脾肋下未触及,腹部未触及明显包块,腹部叩诊呈鼓音,移动性浊音阴性,震水音阴性,肠鸣音4次/分,未问及血管杂音,四肢掌指(趾)关节,指(趾)间关节,膝关节,踝关节变形,入院心电图:窦性心动过速;入院随机血糖6.8mmol/L。初步诊断:急性胃炎;类风湿关节炎。以2020年9月14日收住我院消化内科。
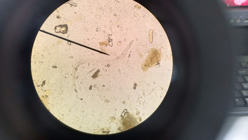
实验室检查:血常规显示:血红蛋白107(115-150)g/L,红细胞压积31.3(35-45)%,红细胞平均体积79(82-100)fL;血凝分析、免疫结果未见明显异常;生化显示:钠132(135-145)mmol/L,氯94(100-110)mmol/L,C反应蛋白55.89(0-5.0)mg/L,降钙素原0.079(0-0.046)ng/mL;尿常规显示:尿酮体1+,尿白细胞1+;大便常规:涂片镜下观察可见活动性虫体(看视频)/file/upload/202110/17/1628475639.mp4虫体呈线性,头端钝圆,尾部尖细,同事问我是什么寄生虫?虫体活动着看不清,于是重新涂了一张镜下看到一条死的虫体(看图一),
图 一
然后用碘液染色放到镜下观看(看图二、图三),

图二
图 三
镜下虫体约0.2-0.45mm,口腔短,烟管为双球型,生殖原基明显,尾部尖细,此特征符合粪类圆线虫杆状蚴,镜下还看到夏科雷登结晶。夏科雷登结晶为无色或浅黄色两端尖而透明其有折光性的菱形结晶,大小不一。常见于肠道溃疡,尤以阿米巴感染粪便中最易检出。过敏性腹泻及钩虫病患者粪便亦常可见到[2]。此结晶的出现是有一定的临床意义,且有观点认为夏科雷登结晶的出现是由嗜酸性粒细胞的颗粒融合而成,另外夏科雷登结晶和血红素结晶的出现,是消化道出血的依据【3】
我把检验结果告诉消化内科主治医师,主治医师请感染性疾病科医生会诊,会诊后印象:肠类圆线虫病,建议加用阿苯达唑400mg/次,1次/日,连服3日,建议2周后再进行一个疗程治疗。对症治疗一周后,患者病情好转,腹痛明显缓解,大便正常,心率82次/分,电解质恢复正常,患者10d后出院。
讨论:本例患者有农村土壤接触史,有类风湿关节病,常服双氯芬酸,中老年女性,免疫力降低,故患者有机会感染粪类圆线虫,感染后出现消化道症状。基层医院主要依靠从粪便中检出杆状蚴诊断粪类圆线虫病,由于粪类圆线虫虫卵发育非常快在雌虫体内就是含蚴卵,产出以后在肠粘膜内发育为幼虫,随粪便排出体外,所以粪类圆线虫虫卵极为罕见,粪便中形态以杆状蚴常见。粪类圆线虫杆状蚴与钩虫杆状蚴相混淆应注意鉴别:粪类圆线虫杆状蚴口腔短,生殖原基明显(大);钩虫杆状蚴口腔细长,生殖原基很小,几乎看不到。粪类圆线虫防治原则:加强粪便与水源管理做好个人防护;对使用激素类药物和免疫抑制剂的患者,应在用药之前,对粪类圆线虫作常规检查或常规杀虫治疗,以免发生自身感染;对犬、猫也应检查和治疗。治疗粪类圆线虫病的驱虫药物以噻苯达唑的效果为最好,治愈率达95%以上。阿苯达唑的治愈率可达90以上。虽然我们国家基础设施、卫生条件越来越好,寄生虫感染率也随之下降,寄生虫检出机会也少了,加之有些检验科人员不重视大便常规检查,以致有时看到寄生虫也不知道如何辨认。我们是基层医院,面对广大农村患者,防治寄生虫任务任重道远。作为我们检验人员应加强寄生虫形态学习,以免漏检误检,给临床诊断造成困难,给患者身体增加痛苦,给患者经济压力增大。
参考文献
【1】沈继龙.临床寄生虫学和寄生虫检验【M】.北京.人民卫生出版社.2002:27
【2】尚红.王毓三.申子瑜.全国临床检验操作规程第4版【M】.北京.人民卫生出版社.2015:177
【3】许文荣.林东红.临床基础检验学技术【M】.北京.人民卫生出版社.2015:167

