【检验临床面对面】淋巴浆细胞淋巴瘤/华氏巨球蛋白血症1例
作者:窦心灵,甘肃省酒泉市人民医院检验科
病例简介
患者,男,69岁,因鼻腔出血伴黑便20天来我院就诊,门诊查血常规示:WBC 6.17×10^9/L,NE 61.2%,LY 33.5%,MO 5.0%,RBC 2.00×10^12/L,Hb 55g/L,PLT 208×10^9/L。门诊以“重度贫血”收住我院血液科。查体:T36.0℃,贫血貌,全身皮肤及黏膜无明显苍白,未见黄染、皮疹、紫癜,全身浅表淋巴结未触及肿大,肝、脾肋下未触及。
辅助检查
腹部彩超示:肝、脾声像图未见异常。
血常规:WBC 4.53×10^9/L,NE 50.1%,LY 40.6%,MO 8.4%,RBC 2.00×10^12/L(↓),Hb 57g/L(↓),PLT 182×10^9/L。
红细胞沉降率:140mm/h(↑)。
血生化:尿素 6.24mmol/L,肌酐 83.18umol/L,总蛋白 95.3 g/L(↑),清蛋白 28.3 g/L(↓),球蛋白 67.0 g/L(↑)。
贫血四项:血清铁6.82µmol/L(↓),铁蛋白18.1ng/mL,叶酸>56.64nmol/L(↑),维生素B12 596.0 pmol/L。
血清免疫球蛋白:IgM 11.6 g/L(↑),IgA 0.81 g/L,IgG 3.43 g/L(↓)。
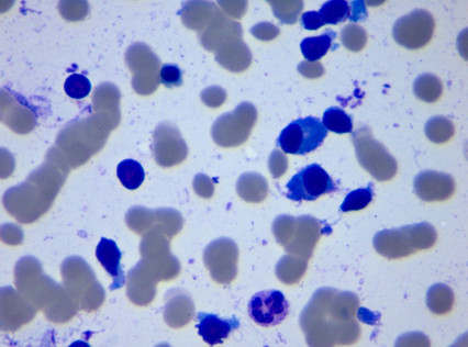
外周血片所见如下:


外周血片 瑞姬氏染色 1000X
骨髓涂片所见如下:






骨髓涂片 瑞姬氏染色 1000X
外周血及骨髓分类如下:

形态特征及诊断意见如下:

流式细胞术分析结果如下:


血清免疫固定电泳结果如下:

综合诊断结论
淋巴浆细胞样淋巴瘤/华氏巨球蛋白血症(LPL/WM)
诊断和鉴别诊断
淋巴浆细胞淋巴瘤/华氏巨球蛋白血症(lymphoplasmacytic lymphoma/Waldenström macroglobulinemia,LPL/WM)是一种少见的惰性成熟B细胞淋巴瘤,在非霍奇金淋巴瘤中所占比例<2%。
一、定义
LPL/WM是由小B淋巴细胞、浆细胞样淋巴细胞和浆细胞组成的淋巴瘤,常常侵犯骨髓,也可侵犯淋巴结和脾脏,并且不符合其他可能伴浆细胞分化的小B细胞淋巴瘤诊断标准。LPL侵犯骨髓同时伴有血清单克隆性IgM丙种球蛋白时诊断为WM。90%~95%的LPL为WM,仅小部分LPL患者分泌单克隆性IgA、IgG成分或不分泌单抗隆性免疫球蛋白。
二、诊断和鉴别诊断
(一)WM诊断标准
1.血清中检测到单克隆性的IgM(不论数量)。
2.骨髓中浆细胞样或浆细胞分化的小淋巴细胞呈小梁间隙侵犯(不论数量)。
3.免疫表型:CD19(+),CD20(+),slgM(+),CD22(+),CD25(+),CD27(+),FMC7(+),CD5(+/-),CD10(-),CD23(-),CD103(-)。10%~20%的患者可部分表达CD5、CD10、或CD23,此时不能仅凭免疫表型排除WM。
4.除外其他已知类型的淋巴瘤。
5.有研究者报道MYD88 L265P突变在WM中的发生率高达90%以上,但其阳性检出率与检测方法和标本中肿瘤细胞的比例等有关,MYD88 L265P突变也可见于其他小B细胞淋巴瘤、弥漫大B细胞淋巴瘤等。因此MYD88 L265P突变是WM诊断及鉴别诊断的重要标志,但非特异性诊断指标。
注:LPL/WM无特异的形态学、免疫表型及遗传学改变,故LPL/WM的诊断是一个排他性诊断,需要紧密结合临床表现及病理学等检查结果进行综合诊断。虽然通过骨髓检查可诊断LPL/WM,但如有淋巴结肿大仍建议尽可能获得淋巴结等其他组织标本进行病理学检查,以除外其他类型淋巴瘤可能。
(二) 鉴别诊断
1.与IgM型意义未明的单克隆免疫球蛋白血症(MGUS)、多发性骨髓瘤(MM)等鉴别:
(1) IgM型MGUS:IgM型MGUS的诊断标准:①有血清单克隆IgM蛋白;②骨髓中无淋巴浆/浆细胞浸润;③无其他B淋巴细胞增殖性疾病的证据;④无相关器官或组织受损的证据,如淋巴瘤浸润所致的贫血、肝脾肿大、高黏滞血症、系统性症状,或淋巴结肿大,以及浆细胞疾病所致的溶骨性损害、高钙血症、肾功能损害或贫血。
(2) IgM相关性疾病:这类患者由于单克隆性IgM升高引起的相关症状,如症状性冷球蛋白血症、淀粉样变,或自身免疫现象如周围神经病、冷凝集素病,而骨髓无淋巴浆细胞、无淋巴瘤证据时,应诊断为IgM相关性疾病更为妥当。
(3) IgM型MM:IgM型MM非常少见,细胞形态学为浆细胞形态,免疫表型为高表达CD38、CD138,而CD19、CD20、CD45阴性,常伴溶骨性损害等,这些特征是IgM型MM与WM鉴别的主要标志。约1%的IgM型MM可在形态学上表现为淋巴样细胞,并可表达CD20,但这部分患者常伴有t(11;14)(q13;q32),而WM常不伴有14q32易位,可作为两者的鉴别点。
2.与其他B细胞慢性淋巴增殖性疾病(B-CLPD)鉴别:
多种B-CLPD可伴有血清单克隆性IgM成分,并出现浆细胞分化的形态学特征,从而需与WM鉴别,如慢性淋巴细胞白血病/小细胞淋巴瘤、套细胞淋巴瘤、滤泡性淋巴瘤、边缘区淋巴瘤(MZL),不典型的WM和MZL伴有浆细胞分化时尤其难以鉴别。具体鉴别参照《中国B细胞慢性淋巴增殖性疾病诊断专家共识(2014版)》。
该例患者重度贫血,血清总蛋白和球蛋白明显增高,IgM增高,红细胞沉降率明显增快,骨髓中以小B淋巴细胞、浆细胞样淋巴细胞和浆细胞为主,成熟红细胞呈缗钱状排列,流式细胞术结果提示送检标本中可见约2.6%的单克隆浆细胞和16.9%的单克隆B淋巴细胞,且伴免疫表型异常,血清免疫固定电泳结果显示IgM、κ泳道发现异常单克隆条带,单克隆免疫球蛋白类型为IgM-κ型,综合考虑该患者为LPL/WM。
参考文献
1.中国抗癌协会血液肿瘤专业委员会、中华医学会血液学分会白血病淋巴瘤学组、中国抗淋巴瘤联盟.淋巴浆细胞淋巴瘤/华氏巨球蛋白血症诊断与治疗中国专家共识(2016年版)[J].中华血液学杂志,2016,37(9):729-733.

作者简介: 窦心灵,副主任检验师,现担任世界华人检验与病理医师协会康复医学检验专家委员会委员,君安医学细胞平台副总台长兼血液(骨髓)1台总台长,细胞形态学那些事微信群群主,检验视界网及君安医学细胞平台公众号特约作者。就职于甘肃省酒泉市人民医院检验科,从事血液病骨髓形态学及综合诊断工作十多年,先后在中国医学科学院血液学研究所、甘肃省人民医院及宁夏医科大学总医院进修学习。主持完成酒泉市科技进步奖3项,发表检验医学及血液病学相关专业论文十余篇,参编《医学细胞彩色图谱》专著1本。2004年和2008年分别被酒泉市人民医院和酒泉团市委授予“青年岗位能手”荣誉称号,在“2015年甘肃省职工技能大赛临床检验医学专业省级决赛”中荣获团体及个人一等奖,并被甘肃省总工会、甘肃省人社厅、甘肃省科技厅等五部门联合授予“甘肃省技术标兵”荣誉称号。2017年度被君安医学细胞平台管委会评为“优秀台长”。
检验视界网微信平台独家首发,转载请注明来源及作者!

