CA-125结果正常就放心了?NO!
间歇性腹部不适,弥漫性腹膜炎,肿标正常,别的检查也都没报肿瘤诊断,妥妥地排除恶性肿瘤...
这个真的可以吗?
最近看了1篇刊登在《Medicine》,由Seong Taek Mun等发表的1篇题为:《Early stage ovarian carcinoma with symptoms mimicking tuberculous peritonitis in a postmenopausal woman》病例报告,报道了1位58岁CA-125值正常,怀疑为结核性腹膜炎,最终经腹腔镜检查,病理证实为IA期卵巢浆液性卵巢癌的病人。通过这篇病例报道的学习,我们希望更多的妇产科医生不要以偏概全的以某一项检验指标、检查指标、临床错误的思维定式来看病,以减少误诊事件发生。并突出手术活检的重要性,及绝经后妇女的卵巢癌患者引起弥漫性腹膜炎的非特异性表现的鉴别至关重要。因此,妇科医生应该在治疗前仔细评估患者。
卵巢癌在妇科癌症中预后最差。早期诊断和治疗非常重要,但早期卵巢癌症状不特异。
超声检查,计算机断层扫描,磁共振影像学检查和血清学检查常常不能对引起弥漫性腹膜疾病的病因给予鉴别。
患者主诉:患者间歇性腹部不适和排尿困难。
诊断:以结核性腹膜炎诊断进行腹腔镜检查并没有发现肺结核的的临床体征或症状。
血清肿瘤标志物:CA-125 9.88 IU / mL(正常值:0–35 IU / mL),CEA1.74 ng / mL(正常值:0–5.0 ng / mL)和CA 19–9 7.41 U / mL(正常:0–34 U / mL)。
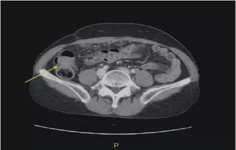
腹部盆腔CT:发现可疑为腹膜结核(TB)和左卵巢小囊性肿块。
增强的CT:网膜浸润,腹膜增厚,升结肠壁增厚。

图片来源:Seong Taek Mun
为了确认结核性腹膜炎诊断,我们进行了诊断性腹腔镜检查和双侧附件切除术(因为绝经后左侧卵巢中发现卵巢囊肿)。诊断性腹腔镜检查术发现:患者网膜粘连严重及左侧卵巢囊性肿块。

图片来源:Seong Taek Mun
组织病理学检查:发现左侧卵巢和输卵管的浸润性肿瘤,以及高倍率检测到肿瘤细胞分化较差,并有严重的不典型增生(图A和B)。

图片来源:Seong Taek Mun
诊断:IA期卵巢浆液性卵巢癌
治疗:腹腔镜子宫切除术,盆腔淋巴结切除术,卵巢肿块切除术,双侧附件切除术。
主动脉旁淋巴结清扫术和网膜切除术。术后接受了辅助化疗,疾病没再复发。
1、腹膜癌的临床特征与影像学表现像极了结核病腹膜炎,有时可能需要手术探查以明确诊断。
2、卵巢癌最常见的筛查方法是血清CA-125水平和经阴道超声检查。在超过80%的晚期女性卵巢癌患者中CA-125升高。绝经后妇女有腹部肿块,用CA-125区分恶性和良性肿瘤两者的敏感性和特异性范围从50%到100%。然而盆腔感染,子宫内膜异位,胰腺炎或结核腹膜炎等炎症性疾病CA-125水平也可升高。
3、B超对卵巢癌的早期发现的阳性预测率很差。恶性肿瘤类似于良性疾病,例如子宫内膜异位症和出血性畸胎瘤囊肿,卵巢癌可能与卵巢囊肿相混淆。
4、腹、盆腔CT有助于腹膜病变的鉴别疾病。但是,结核性腹膜炎和腹膜癌的表现相似,很难正确区分,特别是当卵巢大小正常,有腹膜脂肪浸润时,很难区分良性和恶性腹膜炎。
卵巢癌和结核腹膜炎的CT表现是可比较的,尽管卵巢包膜改变和卵巢实质衰减是与众不同的特征。
5、这个患者CA-125水平正常,没有明确的临床症状可疑为卵巢癌。但卵巢癌患者卵巢一般明显增大,而卵巢体积正常的患者中很少见。
6、相关研究表面,CA-125及人附睾蛋白4(HE4)常用在上皮性卵巢癌与腹膜结核之间的鉴别诊断。
7、绝经前、后妇女卵巢癌发病率为39%至63%女人。早期发现至关重要,因为I至II期卵巢癌的平均5年患者的生存率为80%至93%,III至IV肿瘤患者生存率<30%。然而,患者很少表现出特定于疾病的症状,直到癌症恶化。
8、强调手术活检的重要性和绝经后妇女的组织病理学类似于结核性腹膜炎的非特异性症状。

