一名患者,血常规结果如图所示,散点图提示“原始细胞/异型淋巴细胞”,触发了血常规复检规则,行推片染色镜检。注:根据2015发布的《ICSH外周血细胞形态特征的命名和分级标准化建议》中的论述,建议用反应性淋巴细胞描述良性病因的淋巴细胞,以异常淋巴细胞并对细胞加以描述用于描述疑为恶性或克隆性病因的淋巴细胞。

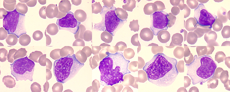
胞体较淋巴细胞稍大,圆形或椭圆形,部分为不规则形。核偏形,呈椭圆形、肾形或不规则形,染色质粗糙,呈现粗网状或小块状。胞质嗜碱性强,呈深蓝色,沿核周围染色较淡,含有大小不等的空泡或呈泡沫状,无颗粒或有少数颗粒。

胞体较大,形态不规则。胞核呈圆形、椭圆形或不规则形,核染色质较细致。胞质丰富,呈浅蓝色,透明,但靠胞膜外缘处较深染且不整齐,无空泡,胞质内可有少数散在的嗜天青颗粒。

胞体较大,呈圆形或椭圆形。胞核圆形或卵圆形,染色质细致、均匀、呈纤细网状排列,无浓集现象,可见1~2个核仁。胞质量多,呈蓝色或深蓝色,一般无颗粒,可有分布较均匀的小空泡。传染性单核细胞增多症(IM),简称传单,是由EB病毒感染引起的细胞学上以淋巴细胞良性增生伴形态变异为主要表现的自限性急性或亚急性感染性疾病。以“发热、咽峡炎、淋巴结肿大”三联征为临床特征性表现。好发于儿童及青少年。白细胞总数正常或增加,大多在(10~30)*10^9/L之间,少数可减低。病程早期中性分叶核粒细胞增多,后期淋巴细胞增多,可达60%~97%,部分淋巴细胞伴有形态异常。反应性淋巴细胞(异型淋巴细胞)于疾病第4、5天出现,第7~10天到高峰。多数变化不大,淋巴细胞增多或正常,亦可见异型淋巴细胞,但数量不及外周血,原始、幼稚淋巴细胞不增多。若非鉴别诊断需要,一般不做骨髓细胞学检查。EB病毒主要有5种抗原成分,即病毒壳抗原(VCA)、膜抗原(MA)、早期抗原(EA)、核抗原(EBNA)和淋巴细胞确定的膜膜抗原(LyDi),EB感染的特征是形成抗EBV衣壳抗原抗体,抗EBV核心抗原抗体以及抗EBV早期抗原抗体。临床上常测VCA-IgM 和VCA-IgG抗体,在病程早期即可增高,阳性率可达100%,尤其VCA-IgM 最具诊断意义,而VCA-IgG因为终身阳性,可用于流行病学调查。血液、唾液、口咽上皮细胞、尿液或组织中的EB病毒DNA阳性。IM急性期患儿外周血CD3+、CD8+细胞升高,CD4+、CD19+、CD16+CD56+细胞降低,在恢复期,CD4+、CD19+、CD16+CD56+细胞升高。疾病第二周开始可有肝功能异常,部分患者可有蛋白尿、管型尿、黏液或脓血便。中枢神经受累时脑脊液中蛋白含量、细胞数量可增加。该患者为老年女性,因「吞咽不利伴乏力纳差半月余」而入院。入院时血常规提示白细胞增多,淋巴细胞比例略有升高,红细胞轻度减少,血小板严重减少,网织红细胞数显著升高。甲状腺周围B超提示颈部多发淋巴结肿大。从以上三个方面基本可以排除传染性单核细胞增多症的可能,淋巴瘤和淋巴细胞白血病的鉴别依靠淋巴结穿刺和骨髓活检检查。血常规检查异常时,需关注散点图有无异常,散点图有异常时,需及时推片染色镜检。为了保证血涂片的质量,需做到厚薄适宜,头体尾明显,细胞分布均匀,边缘整齐,两端和两边留有一定的空隙。镜检时需注意低倍镜下进行整个涂片的观察,特别是边缘和尾部的观察,异常细胞常聚集于此。发现反应性淋巴细胞(异型淋巴细胞)或异常淋巴细胞时,建议在血常规报告中备注描述,显著增多时单独分类。
编辑:骆秉涵