诊断错误?认识颗粒性急性淋巴细胞白血病(G-ALL)
病史摘要:
患者男,72岁。两年前在外院已诊断急性淋巴白血病。患者进行两次化疗后改服中药,现以“贫血、瘀斑”入本院。
相关实验室检查:
血常规:WBC:0.58×10^9/L、RBC:2.36×10^12/L、HB:74g/L、 PLT:11×10^9/L、NEUT:25.8%、LYMPH:69.0%、MONO:5.2%、NEUT#:0.15×10^9g/L、LYMPH:0.40×10^9g/L、EO:0、BASO:0、MCV:92.8fl、MCH:31.4pg、MCHC:338g/l、RDW:15.4。
从血常规中笔者发现,该患者白细胞数明显降低,需要观察外周血形态,明确该患者是否白血病复发。
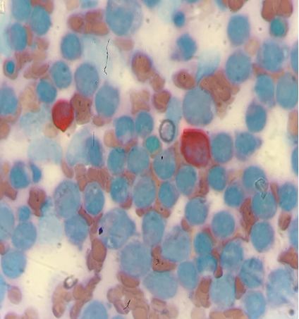
外周血形态:外周血可见原幼细胞,部分原幼细胞胞浆内可见大量颗粒。见图1、图2

图1:外周血原幼细胞形态(X1000)

图2:外周血原幼细胞形态(X1000)
从外周血细胞原幼细胞形态开始考虑,胞浆内含有大量颗粒,常考虑粒系细胞,尤其需要考虑APL中异常早幼粒细胞胞浆内含有大量颗粒。但该患者曾在外院中已经确诊为ALL,莫非该患者出现了第二种类型白血病?还是从一开始就诊断有误?随后与血液科医生沟通交流后,立马做骨穿,并送流式进行检测。
骨髓涂片形态:骨髓增生明显活跃,可见大量原幼细胞,其中部分原幼细胞胞浆内含大量颗粒,未发现Auer小体,易见涂抹细胞。见图3、图4、图5及图6。

图3:骨髓原幼细胞形态(X1000)

图4:骨髓原幼细胞形态(X1000)

图5:骨髓原幼细胞形态(X1000)

图6:骨髓中涂抹细胞易见(X1000)
结合骨髓涂片及外周血形态,该白血病类型为APL可能性大。笔者回顾了患者凝血四项结果,其中FIB:5.05g/L,D-MⅡ:3528.53ng/ml,PT、TT及APTT未见延长。临床医生也觉得凝血结果与APL不太相符,遂进行骨髓细胞组化染色,明确其类型,见图7-图10。

图7:特异性酯酶染色(X1000)

图8:髓过氧化物酶染色(X1000)

图9:糖原染色(X1000)

图10:非特异性酯酶染色(左)及添加NAF后(右)
从组化染色结果来看:①髓过氧化物酶染色及特异性酯酶染色为阴性②非特异性酯酶染色阳性,且不被NAF抑制③糖原染色强阳性,阳性呈粗颗粒状。推测急性淋巴细胞白血病可能性大。
为了进一步确诊,我们查询了流式结果。发现有84.3%的细胞FSC、SSC增大,表达CD34、CD15、HLA-DR、CD9、CD79a、CD22,少量表达CD10,不表达CD45、CD117、CD11b、CD13、CD20,为异常B淋巴细胞。
笔者查询相关资料,发现一种颗粒性急性淋巴白血病(G-ALL),它属于急性淋巴细胞白血病一种少见亚型。STEIN等最早报道这一特殊形态的ALL,并于1983年将其命名为G-ALL,视为ALL的一个亚型。诊断标准为:5%以上的原始淋巴细胞中存在直径> 0.5μm的1个或多个嗜天青颗粒或包涵体者。这种颗粒性质不明,可能起源于线粒体或溶酶体颗粒,也可能是发育异常的细胞器生成、融合或退化的结果。
G-ALL在临床上少见,需与AML(尤其与APL)进行鉴别:①形态学上看,G-ALL比AML更易见涂抹细胞;且在G-ALL中未发现Auer小体。②临床表现上,APL更易出现凝血异常,甚至出现DIC的情况。③流式以及骨髓组化染色对鉴别两者有重要意义。
治疗上,AML与ALL用药方案方面上差别很大。因此,如若在外周血及骨髓中发现多颗粒的原幼细胞,而临床中并无明显出血倾向,需要考虑到G-ALL可能性。这需要我们做骨髓细胞组化染色,并临床医生沟通,及时送检骨髓进行流式细胞学检查,从而对白血病类型进行准确诊断。

