1例 Evans综合征的诊断及分析
患者,男性,40岁,主因面黄伴尿色加深10余天入院。查体:神志清楚,精神可,中度贫血貌,巩膜黄染。全身皮肤粘膜黄染明显,无出血点及瘀斑,周身浅表淋巴结未触及肿大。胸部无压痛,咽部充血明显,双肺呼吸音粗,未触及干湿性啰音。心率98次/分,律齐。腹软、无压痛、反跳痛,双下肢无浮肿。
入院后血常规示:

血常规:白细胞:7.06×109/L正常;血红蛋白:76g/L↓;红细胞平均体积:127.4fL↑;平均血红蛋白量:45.2pg↑;血小板:62×109/L↓;单核细胞比率:12.6%↑;
行外周血涂片及网织红细胞计数(如下图):

外周血形态学:可见中性中幼粒细胞,红细胞大小不等,有核红细胞4个/100个白细胞;网织红细胞明显增多,分类达:14.0% 。
其他检查指标如下图示:

谷草转氨酶:51U/L↑;★总胆红素:124.1umol/L↑;直接胆红素:12.6umol/L↑;间接胆红素:111.52umol/L↑;★尿酸:485umol/L↑;羟丁酸脱氢酶:908U/L↑;★乳酸脱氢酶:1034U/L↑;高敏C反应蛋白:6.80mg/L↑;尿常规检查:隐血2+ ,抗核抗体阴性,乙肝、丙肝及传染相关检验未见明显异常。
腹部彩超检查:肝实质回升稍增粗,脾大(脾后径4.6cm,长径12.2cm)。
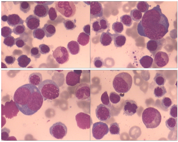
隔日患者行骨髓细胞形态学检验(如下图):

骨髓增生明显活跃,粒系占23.0%,红系占72.5%,粒:红=0.32:1。粒系比例减低,红系增生明显活跃;以中晚幼红细胞增多为主,红细胞大小不等,可见双核幼红细胞,嗜碱性点彩红细胞,H-J小体;巨核细胞全片计数49个,而仅见到产板巨核细胞1个,血小板少见。
后续患者行溶血相关检验:

直接抗人球蛋白试验阳性;提示存在自身免疫性溶血性贫血可能。
结合本例患者中度贫血,尿色加深,全身皮肤粘膜黄染,脾大,高胆红素血症,直接抗人球蛋白试验阳性,外周血有核红细胞、网织红细胞明显增多,骨髓红系增生活跃,巨核系增生而产板巨核细胞及血小板减少等临床及实验室提示,最终综合诊断:患者为Evans综合征可能。给予甲泼尼龙120mg 日一次,并应用血小板生成素等治疗, 2周后患者症状改善,巩膜及全身皮肤粘膜黄染逐渐减轻,外周血象恢复,遂要求离院。后嘱其定期门诊复查,该患者目前仍在随访监测中。
Evans综合征为同时或相继发生自身免疫性溶血性贫血(AIHA)和免疫性血小板减少性症(ITP)的临床综合征。1949年由Evans和Duans两位国外学者率先报道。本病病因不明,多由病毒感染或药物而诱发,也可继发于系统性红斑狼疮、甲状腺功能亢进、类风湿性关节炎等自身免疫性疾病。临床表现:黄疸、肝脾肿大、紫癜、血尿等,疾病进展可累积关节、血管、肾脏等。文献报道:成人Evans综合征,多以单纯自身免疫性溶血性贫血(AIHA)或原发性免疫性血小板减少(ITP)起病,其中以血小板减少起病后继之发生AIHA者居多,约58.8%患者以ITP起病,后伴发AIHA,而29.4% 的患者(如本病例)表现AIHA起病,后合并发生ITP。而Evans综合征同时发生AIHA和ITP者较少。诊断本病需同溶血性尿毒症综合征(HUS)、血栓性血小板减少性紫癜(TTP)、夜间发作性血红蛋白尿症、Kasabach-Merritt综合征、HELLP综合征等疾病进行鉴别。
Evans综合征的诊断需综合临床及实验室等相关检查,进行排除性诊断;在除外其他溶血性贫血及继发性血小板减少症的前提下,符合AIHA及ITP两种疾病的诊断标准,即可诊断Evans综合征。
Evans综合征的治疗首选肾上腺皮质激素或静注免疫球蛋白等一线治疗方案;无效则应用二线治疗包括利妥昔单抗、环孢素A和霉酚酸酯等制剂;激素和免疫抑制剂治疗效差可行脾脏切除术。对于一线、二线药物治疗均无效者,则应用环磷酰胺、罗米西亭等三线药物给予治疗。

