神奇的尿常规——敢想敢做敢下结论
作者:张博-陆军第八十三集团军医院
尿液复检规则摘选
检验病理科尿液复检规则:
一、干化学与镜检不符
1、潜血阳性,镜检无红细胞要求:湿片复检,镜下去看有无异常细胞,查询病例是否尿中存在溶血、肌红蛋白等。查见“五”的情况需要制片染色后确定。
二、干化学与镜检相符
1、潜血阳性,存在红细胞;结合患者年龄,40~50岁,RBC 2+者需要复检,50岁以上,RBC 1+者需要复检。查见“五”的情况需要制片染色后确定。三、明显浑浊标本仪器无法识别或识别错误时,需湿片复检。
四、明确临床诊断
临床诊断为“膀胱肿瘤”、“膀胱肿物待查”、“血尿待查”等,需制片染色复检。
五、仪器无法鉴别仪器镜检拍到不能鉴别成分时,需复片镜检辨别,显微镜下依然不能识别需染色确定。
(上述规则暂不完善,仅适用于本实验室。)
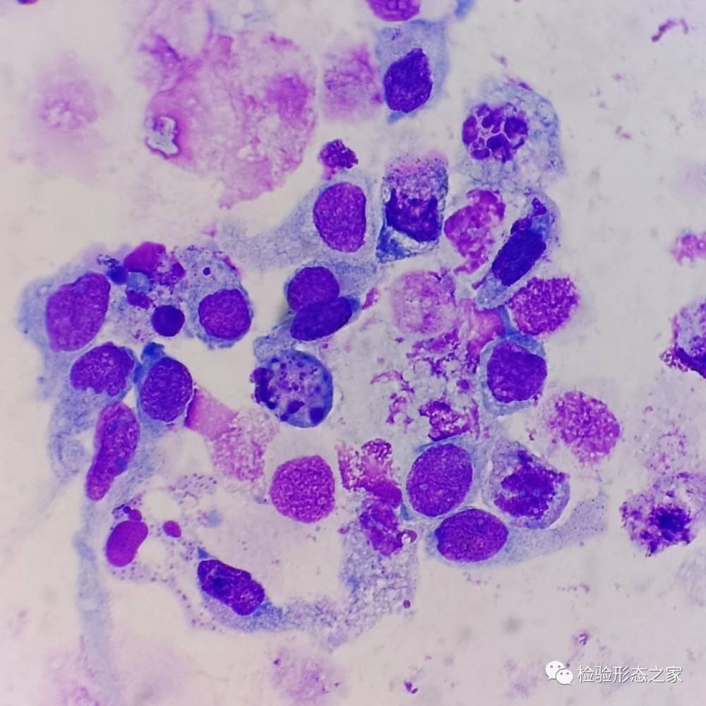
第一次尿常规

数据解析:干化学 潜血 1+,余正常;镜检 小圆上皮细胞 30个/ul,红细胞 5个/ul,白细胞 25个/ul,粘液丝8个/ul。(当初尿沉渣仪器在镜检模块只报了白细胞 69个/ul,其余未报,可以参考上面的视频,这个报告是在湿片复检后进行的手工修改。)根据复检规则,对这例尿液进行湿片复检,过程中发现“小圆上皮”较多,不进行染色无法进行鉴别到底是哪种上皮细胞。然而对于细胞量很少的标本,只能采用细胞离心机进行甩片收集。




形态描述:胞体大小不一、形态不规则;胞浆量不一、染色不均匀;胞核部分呈细沙状、个别畸形。综合考虑为异常尿路上皮细胞,肿瘤细胞不排除。
由于患者来医院目的仅是为了体检,身体并无不适,经过沟通后同意做进一步影像学检查泌尿系腹部 CT :1、双侧肾周筋膜毛糙,双肾多发囊肿,请结合临床注意复查。然而对于细胞学比较自信的我,实在放心不下,要求患者再次留尿进行复查。
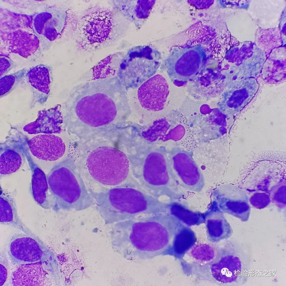
第二次尿常规

第二次尿检更加的正常了,干化学全部阴性,镜检仅发现白细胞 17个/ul,在患者以及临床医生都对之前的判断出现疑惑时,我针对第一次尿液检验发了一份图文报告:

同时对第二次的尿液进行制片染色,镜下依旧发现异常细胞,于是非常笃定的让患者拿着第一次的图文做进一步的泌尿系检查。临床医生以及患者对我也是非常的信任,进一步做了全泌尿系成像检查:1、左侧肾盂癌可能性大,左肾中部肾实质受累可能,请结合临床及病理检查;2、双肾多发囊肿,左肾下级复杂囊肿,双侧肾周筋膜毛糙,腹膜后小淋巴结,请注意复查。终于,问题浮出水面,所有人心中有了判断,接下来就是住院进行系统的治疗。
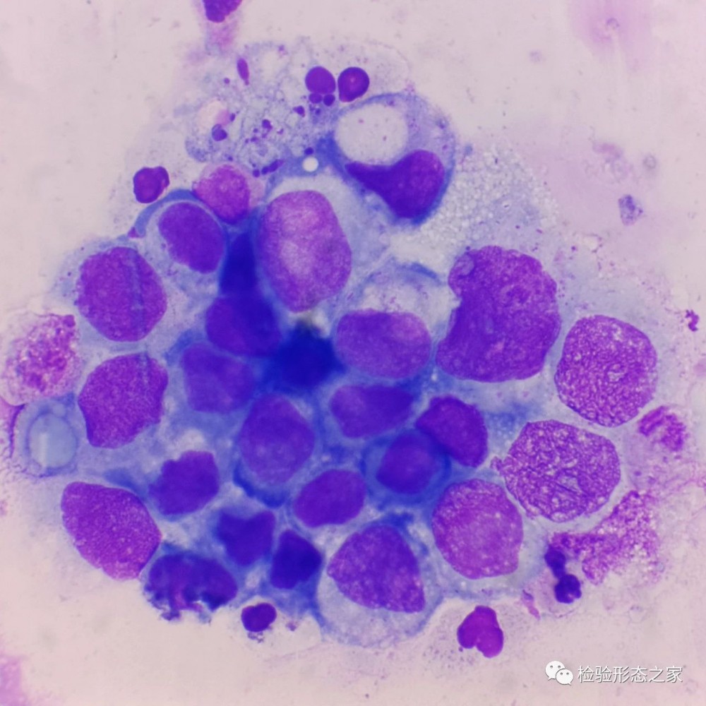
第三次尿常规
住院信息:患者男性,77 岁,因体检发现左侧肾盂占位 2 周余。无尿频、尿痛,无血尿,无低热、盗汗,无胸痛、腰背痛,无头晕、头痛,无恶心、呕吐,无呼吸困难等不适。

经过前两次细胞学的表现,临床更是特意交代制片镜检并发一份图文报告:



术后病理诊断

病理诊断:
(左肾)浸润性尿路上皮癌,肿瘤大小:4cm×2cm×1cm 。癌侵及肾实质组织。病理分期:pT3NxM0。
总结:
关于尿液肿瘤细胞的筛查,前期也做过几次推文,也有一些心得体会,这次再发感觉又是老生常谈。
这次与以往不同的是三次尿液常规的结果,一次比一次正常,而且虽然没有做泌尿系彩超,但是 CT 检查都为阴性,更是细思极恐:如果第一次漏检就不会有接下来的检查,如果第二次没有一直留意这位患者,没有去离心制片,更是会彻底遗漏(因为看这那样的结果谁都不会往复检方面去做,更不会联想到泌尿系肿瘤)。即使是“经验老到”的我,只看第二次的结果也不会有下一步的操作。而且又有多少医生及患者会愿意如此的信任,一次又一次的复检,一次又一次的无条件配合?又有多少患者在 CT 检查都阴性时还在信任检验,继续做更进一步的检查?又有多少检验人因漏检“第一次尿液”,从而错失更多?又有多少检验人面对“第三次尿液”的明确诊断“左肾盂癌”,只看结果正常就不去制片复检?
在一些疾病的诊疗中,细胞学往往是最直观最有效的手段,然而由于细胞学的价格低廉,操作繁琐,报告耗时而被很多人轻视甚至忽略掉。异常细胞的辨认其实很简单,当找到一个肿瘤细胞让去看,大多数都可以认出来,然而前期的工作却难倒了一群又一群的检验人。
内容来源 | 检验形态之家
图片来源 | veer、ibaotu
排版 | jinbao
审校 | 金宝

