【检验临床面对面】众里寻“它”千百度,那菌却在……
作者:黄晓红 罗晓成,马山县人民医院
案例经过
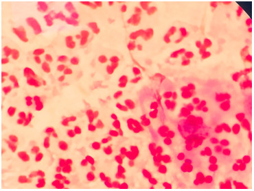
忙碌的一天在晨会后开始了,每天重复着相同的事情,但也常常会有不一样的疑惑和收获。这不,来了一个男性尿道的分泌物,所见如下图:

图一

图二
(以上图片为显微镜×100革兰染色所见)
满视野都是白细胞,视野干净无杂菌,按我们以往的经验,这样的情况很容易找到革兰阴性双球菌。但是找寻良久,都没有发现。专门做微生物的老师和临检的老师也来看片,最终一无所获。我们都很纳闷:难道真的没有革兰阴性双球菌吗?
病人来问结果的时候,老师走出实验室和病人聊了起来。原来,昨天病人开始出现脓性分泌物,某度后自己按网上说法买了头孢类抗菌药物(药名不记得)服用2次。今天来医院时分泌物已经较昨天稀了。
原来,这是一个用了抗菌药物后采样的标本啊。
3天后,PCR的结果出来,淋球菌核酸检测阳性,沙眼衣原体阳性,解脲支原体阳性,梅毒TRUST、TPPA均阳性反应,抗HIV阴性。原来,这还是一个混合感染呀!
案例分析
淋球菌全称淋病奈瑟菌,为淋病的病原菌。可引起男性尿道炎、附睾炎、前列腺炎、咽喉炎以及女性尿道炎、阴道炎、宫颈炎等。新生儿经过产道时如被感染,可引起淋球菌结膜炎。成年女性感染的临床症状不典型,多在出现并发症如盆腔炎时才能被发现,以致形成输卵管瘢痕,引起不孕或异位妊娠。2015年美国CDC的性病诊断和治疗指南中推荐每年对< 25 岁有性生活的女性及有感染风险的高龄女性进行淋病筛查。淋病是性传播疾病的主要病种之一,潜伏期短、传染性强、危害大。
病人感染的临床标本中,包含一定量的病原菌。临床标本直接涂片后进行革兰染色,淋球菌被染成革兰阴性,单个或成双排列。涂片检查可以在显微镜下明确细菌的形态及革兰染色情况,结合白细胞吞噬细菌的现象及病人的临床表现,可以对淋球菌感染做出快速的经验性诊断。
标本采集:
1.推荐抗菌药物使用前采样。
2.标本一般由临床医生采集。男性患者挤出分泌物后,以专用细拭子插入尿道口2~4cm轻轻捻转,停留30秒后取柱状上皮细胞标本送检。
3.对症状不典型的男性患者取材,最好在其晨起排尿前或排尿4h以后。
常用的病原体检测方法有:
1.直接涂片检查:将生殖道或眼睛分泌物直接涂片,革兰染色后光学显微镜观察革兰阴性球菌。镜下可见大量多核粒细胞,细胞内可见数量不等的革兰阴性双球菌。涂片法对男性分泌物的检出率较高,但对女性检出率较低,且女性分泌物标本中杂菌较多,推荐用培养法鉴定。为避免细胞破裂和变形,涂片时不要用力涂擦,可轻柔的转动棉拭子在玻片上滚动,涂片厚薄要合适。
2.分离培养鉴定:将分泌物接种于血平板和巧克力培养基上进行培养鉴定。淋球菌对外界环境的变化较敏感,尤其对寒冷抵抗力弱,因此,取材后应立即接种,标本离体的时间越短越好。初次培养时需5%二氧化碳促进生长。
3.淋球菌核酸检测:近年来淋球菌的核酸检测以其快速、灵敏正日渐成为检测的主流方法。目前主要有PCR技术、连接酶链反应(LCR)技术,转录介导的扩增(TMA)技术以及实时荧光核酸恒温扩增检测(SAT)技术等。
混合感染:
本案例中的患者淋球菌核酸检测阳性,沙眼衣原体、解脲支原体、梅毒TRUST、TPPA均呈阳性反应,提示存在混合感染。性传播疾病可能同时接触和感染多种病原体,或感染一种病原体后导致人体局部或全身免疫力下降,从而对其他病原体易感。近年来,淋病合并沙眼衣原体和(或)解脲支原体感染患者在国内外均呈逐年上升趋势[1,2,3],且耐药问题日益严重。梅毒螺旋体感染也呈迅速上升趋势;混合感染的发生率逐年升高。对此,有必要进行多种病原学同时筛查,以免因漏诊而延长患者治疗时间和造成疾病的传播。
治疗:
美国CDC基于其他微生物对抗菌药物耐药性增加的经验基础,推荐应用两种不同机制的抗菌药物治疗淋病(如头孢菌素+ 阿奇霉素),以提高疗效和减缓头孢菌素耐药性的出现和发展。国内常使用头孢曲松钠、大观霉素、阿奇霉素等治疗淋病。有文献报道[1]单纯淋球菌感染,使用头孢曲松治疗2天即有疗效,但单纯感染和混合感染,达到临床治愈的标准所需要的时间并无差异,中位时间为9.3天。近年国内的研究发现[4],头孢曲松钠的低敏感株增多、大观霉素的MIC呈上升趋势,对阿奇霉素耐药的菌株在各地相继发现,提示应继续加强对淋球菌的耐药性监测。在广西地区的研究中[5],淋球菌对大观霉素、头孢曲松仍敏感,部分菌株为头孢曲松低敏菌株,这与万川等[4]的研究相似。提示大观霉素、头孢曲松仍可作为本地区治疗淋病患者的一线药物,也提示临床要规范使用抗生素及性病防治工作者及时监测淋球菌对头孢曲松的敏感性,及时发现耐药菌株,防止耐头孢曲松的菌株爆发流行。
在本案例中,涂片法未找到双球菌,并不意味着病人就不再需要治疗;又因PCR检查的是死菌,患者经治疗后病菌死亡、症状消失后PCR仍需一段时间才能转阴。由此可见,PCR法不宜用作判愈标准。《2015年美国疾病控制中心性传播疾病的诊断和治疗指南——淋病的诊断和治疗指南》提示,采用推荐方案治疗后无需继续培养评价疗效。
参考文献:
1.李晶, 张慧, 钱伊弘,等. 单纯淋球菌感染与淋球菌混合其他病原体感染患者的治疗分析[J]. 上海交通大学学报(医学版), 2010, 30(7):874-876.
2.李东, 鲁炳怀, 张树琛. 1881例北京地区患者生殖道沙眼衣原体与淋球菌感染与解脲脲原体携带分析[J]. 中国实验诊断学, 2018(3).
3.周杰, 徐康立, 张扬,等. 407例淋病患者合并解脲支原体、沙眼衣原体感染情况分析[J]. 现代诊断与治疗, 2017, 28(3).
4.万川. 耐阿奇霉素与头孢曲松低敏淋病奈瑟菌的耐药机制及分子流行病学研究[D]. 北京协和医学院, 2016.
5.朱邦勇, 于瑞星, 李伟,等. 2006-2012年广西地区男性淋病患者临床分离菌株对WHO规定的五种抗生素的敏感性[C]// 全国皮肤病与性病防治学术研讨会. 2014.
检验视界网微信平台独家首发,转载请注明来源及作者!

