检验科临检室的工作是短兵相接的,对TAT的时间要求很高,30分钟里包括了标本的采集、传送、接收、编号上机及结果的发送,对检验医生的素质要求较高。
快速、不漏检,但快在概率上就增加了漏检的风险。人工智能血细胞形态学检查能够缓解人工负荷、提高镜检效率、提高异常细胞/形态的检出率。
本文通过以下两个案例为大家展示阅片的重要性。

案例一
现病史:患者2天前无明显诱因在客厅小便,呼唤时反应较迟钝,伴左侧肢体无力、麻木感,不能自行行走,无言语不清,无嘴角歪斜,无吞咽呛咳、吞咽困难,无恶心、呕吐,上述症状持续无缓解,昨日于我院急诊就诊。
查头颅CT,提示左侧顶枕叶片状脑梗死较前范围增大,暂予“丁苯酞、依达拉奉”等对症支持治疗,今为求进一步诊治,门诊拟“脑梗死”收入。起病以来,患者精神睡眠较差,胃纳可,大小便一般,近期体重未见明显改变。
既往史:20天前因突发言语不清,、行走不稳确诊为“脑梗死”,规律服用抗凝、降脂等对症治疗,于一周前出院,出院时脑梗死症状明显好转。否认高血压史、冠心病史、糖尿病、血脂代谢紊乱、TIA、心房颤动等慢性病史,否认肝炎、结核等传染病史,否认手术史、外伤史、输血史,预防接种史不详,否认过敏史。

这样的结果,数值很符合病情,是不是很可能就直接审核了呢?脑梗死的病人,反复发作,恢复期单核细胞比例是有可能增高,提示肌体正在清除病变部位坏死组织。散点图大致正常,在单核细胞位置之上会有少量颗粒,通常原始细胞或者反应性淋巴细胞会在这个位置,病人有梗死的病史,出现反应性淋巴细胞也属于可以接受的情况。

仪器报警有原始细胞?异常淋巴细胞/原始细胞?考虑是反应性淋巴细胞吗?任何侥幸心理都是有意外的,如果报原始细胞不推片镜检就是危险的,十分钟后,阅片机结果出来了,如下:

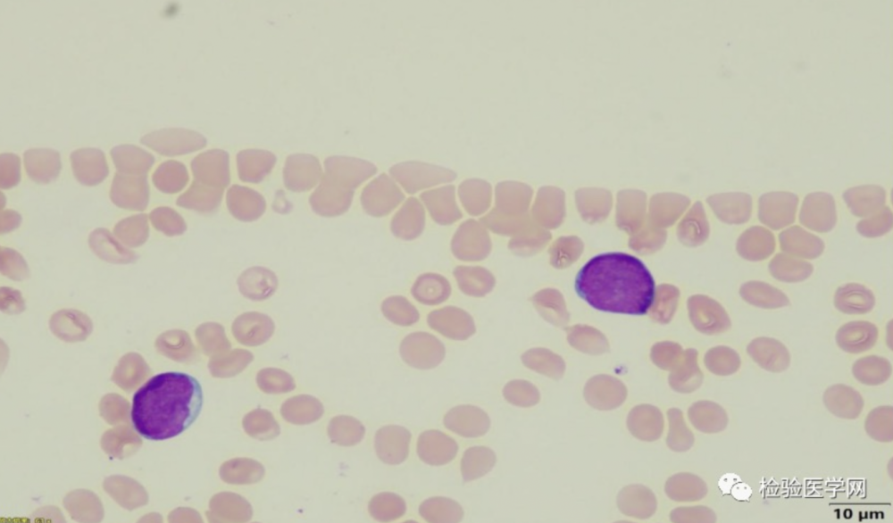
阅片结果有问题,此时,阅片机已经不能满足需求了,显微镜下人工阅片是金标准,只有通览全片,才不会放过任何细节,阅片如下:
计数100个有核细胞,原始细胞比例15%,与仪器分类较接近,部分原始细胞由于体积较大,部分有颗粒,被仪器自动分类时归到了单核细胞中,导致单核细胞计数比例偏高,实际单核细胞比例并没有15.4%,而是只有5%左右,一部分体积较小的原始细胞则被仪器归类到了淋巴细胞计数中。由此可见,仪器分类计数的结果在存在异常细胞的时候是不准确的,无论是把原始细胞分类到单核细胞还是淋巴细胞中,这样的结果都是不可信的,需要手工镜检纠正。
按照《血常规分析报告规范化指南》,报告分为三个层次:首先报告异常细胞比例及描述此类异常细胞的形态,其次提示临床可能的诊断,第三是需要进一步做什么检查以明确诊断。遗憾的是,这个病人血液科会诊后明确是白血病,需要进一步检查及治疗时,家属不同意进一步治疗,要求出院,进一步明确诊断的检查就没有继续。
再次CT检查,提示脑梗死面积扩大,病人状态不佳,陷入昏迷。可以想象回家意味着什么。
案例二
现病史:患者于2周前无明显诱因下出现间断低热,体温最高38°C,持续数小时后自行退热,未予重视。今为进一步诊断治疗再次至我院,在门诊拟诊断为“发热伴贫血、血小板减少待查”收入院。自发病以来,病人精神状态一般,食欲一般,睡眠一般,大小便正常,轻度乏力,体重无明显变化。
既往史:平素身体良好,否认高血压史、冠心病史、糖尿病等慢性病史,否认肝炎、结核等传染病史,否认手术史、外伤史、输血史,预防接种史不详,否认过敏史。

如果不看散点图,病人既往就有血小板减少,加做了网织红通道解聚模式并未提示聚集,会不会有人就审核了呢?通常,血液系统疾病表现为血小板减少为首发症状的病人非常常见,血小板是最小的血细胞,容易受到各种因素的影响,血小板减少的病人一定要小心有没有其他造血系统的疾病。
这个病人除了血小板少,淋巴细胞计数及比值稍高,从散点图看来,淋巴细胞和单核细胞融合在一起,分类不清,推片镜检十分必要。查看仪器软件,结果如下:


又见“原始细胞?异常淋巴细胞/原始细胞?”的报警,人工镜检是金标准。阅片结果如下:

该病人不但有原始细胞,还有幼稚粒细胞,血小板明显减少,送血液科进一步检查治疗,结果如下:

该病人最终确诊为B淋巴母细胞白血病。
通过以上两个病例,不得不说,小小的血常规竟有如此重要的作用。检验医师是临床医生的眼睛,是发现病情的哨兵,能在第一时间明确诊断。为病人的治疗赢得时间是每个检验医生默默坚守的价值和初心。仪器设备再先进,最终把关的人工镜检始终是检验医师的利器。很多数值看似正常的血常规,通过报警信息及推片镜检能火眼金睛地及时发现异常的情况。不错过、不漏掉,是医疗质量的保证。
【参考文献】
[1]中 华 人 民 共 和 国 国 际 卫 生 和 计 划 生 育 委 员 会 . WS/T 142017.临床检验方法检出能力的确立和验证 [S].北京: 中国标准出版社, 2017:89.
[2]中华医学会检验医学分会血液学与体液学学组. 血细胞分析报告规范化指南[J]. 中华检验医学杂志, 2020, 43(6):619627.DOI: 10.3760/cma.j.cn1144522020033100343
[3] 王黎, 张丽霞, 王宏, 等.外周血细胞形态学报告方式应规范化——《ICSH外周血细胞形态特征的命名和分级标准化建议》的解读与应用[J].临床检验杂志, 2017, 35(6):459460.
DOI: 10.13602/j.cnki.jcls.2017.06.17.