红细胞异常发育形态评价共识:难点问题
Jean E. Goasguen教授2018年在BJH上发表了一篇有关红细胞异常发育形态评价共识:难点问题。看完启发不少,尤其是红系发育异常形态问题。特就我们比较关注的红细胞形态描述部分内容简单归类,分享之。(粗体为WHO规范的红系发育异常标准)

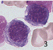
1. 核出芽和/或核分叶幼红细胞:包括单个出芽核与多个分叶状核芽的幼红细胞。这类形态特点不同于核碎裂的幼红细胞(见上图)。

2. 核间桥:是指两个幼红细胞核之间由染色质细丝连接。

3. 胞间桥:是指两个幼红细胞胞浆之间由胞浆细丝连接。

4. 核碎裂:是指核固缩引起的细胞核解体(核染色质致密和无结构)。当核固缩时,核碎裂可表现为细胞核分叶过多,但这种细胞不属于“核出芽和/或核分叶”范畴。同样核固缩导致核碎裂后,也不能归类为“脱落的核小体或碎片”类别(见上图)。

5. 双核:指含有2个细胞核的幼红细胞。双核幼红细胞包含先天性红细胞生成异常性贫血(CDA)的红细胞I型和2型,其中2个核紧密贴合。(WHO标准称为多核)

6. 三核或多核:即具有2个以上细胞核的幼红细胞。(WHO标准称为多核)

7. 核大小或成熟程度异常的幼红细胞:是指单个幼红细胞中存在2个或2个以上胞核,胞核之间大小不同或胞核成熟程度不一致。

8. 胞浆空泡:(i)至少有部分空泡形状不规则和融合(ii)空泡圆形均一(iii)其他深浅不一空泡。第一类空泡常呈PAS阳性,与MDS诊断具有一定关联。其他一些空泡含有碎片的痕迹,可能为自噬性液泡。

9. 血红蛋白合成缺乏:是指胞浆部分区域出现明显空洞。这种细胞可能缺乏可识别的帕彭海姆氏小体,其可通过普鲁士蓝染色证实。

10. 巨幼样幼红细胞:是指幼红细胞体积增大,核浆发育不同步;与胞浆成熟程度相比,细胞核染色质更加细致、疏松。

11. 大幼红细胞:是指幼红细胞体积增大,而无核浆发育失衡现象。

12. 脱落的核小体或碎片:是指游离于胞核之外的染色质凝集形成的圆形包涵体。是H-J小体的同义词。可能是核出芽形成,或是有丝分裂过程中纺锤体脱落的染色质。

13. 嗜碱性点彩红细胞:是指胞浆中出现多个嗜碱性包涵体,这些包涵体通常较小,但有时体积增大,均匀分散在细胞浆中。区别于帕彭海姆氏小体,后者不均匀分布,常排列于胞浆外周或核周,本质为铁颗粒。

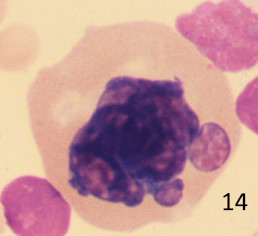
14. 巨大幼红细胞:体积显著大于任何正常幼红细胞。其特点可为胞核染色质细致,多核或有分叶状核。
15. 其他发育不良特征:是指尚未描述的任何细胞学异常,例如具有显著核仁的红细胞(省略)。

16. 有丝分裂相
讨论
WHO规范的红系发育异常以核出芽/分叶,核间桥,多核,胞浆空泡与巨幼样变具有一定的特异性。核碎裂在MDS中出现频率较低,且缺少特异性;多核幼红细胞往往在CDA更多见,此时价值更大;巨幼样改变多见于维生素B12缺乏;而幼红细胞空泡之特征则对髓系肿瘤具有一定的特异性,但要注意排除铜缺乏疾病;空泡在MDS时常见形态为不规则空泡,外形不整齐,提示这些空泡为糖原物质(而不是脂质,因为脂质常形成圆形空泡),然而圆形空泡也能见,故无需明确哪一类型的空泡。
对于非WHO规定的红系形态则未能提高MDS或AML-MRC诊断敏感性与特异性。因胞浆间桥、核大小或成熟程度异常、嗜碱性点彩、胞浆血红蛋白合成缺乏、脱落的核碎片等缺少特异性。如胞浆间桥可以见于正常志愿者骨髓象。嗜碱性点彩红细胞在非肿瘤疾病中也可见到。脱落的核碎片虽可增加诊断敏感性,但特异性较低。核大小或核成熟程度异常可以作为发育异常的一个形态特征,常不需单独计数,归类在多核幼红细胞计数与评价。
相比小巨核细胞、粒系乏颗粒等高度特异性形态特征,尚无一项红系发育异常类型与之具有相同高度特异。因此最重要的是不能单独评价红系发育情况,要结合其他2系进行评估。如果发育异常仅限于红系,必须注意除外其他引起红系病态造血的原因。如巨幼贫,CDA、铜缺乏、黑热病等疾病引起的红系病态造血。此外有报道丙肝感染患者出现红系病态大于10%等等。
WHO专家小组认为怀疑MDS时,不能单独评估红系发育情况,必须考虑临床病史,其他2系特征和排除其他可能诊断。
参考文献
1. Hasserjian, R.P., Orazi, A., Brunning, R.D., Germing, U., Le Beau, M.M., Porwit, A., Baumann, I., Hellstrom-Lindberg, E., List, A.F., Cazzola, M. & Foucar, K. (2017) Myelodysplastic syndromes/neoplasms, overview. In: WHO Classification of Tumours of Haematopoietic and Lymphoid Tissues, revised, 4th edn, pp. 98–106. IARC Press, Lyon.
2. Jean E. Goasguen, John M. Bennett, Barbara J. Bain, Richard Brunning, Maria-Teresa Vallespi, Masao Tomonaga, Gina Zini and Alain Renault. British Journal of Haematology, 2018, 182, 526–533.
来源:爱形态-iMorphology

