顺藤摸瓜,一步步确诊
【前言】
传染性单核细胞增多症(简称“传单”)在儿科和检验科并不少见,它是由EB病毒引起的急性传染性疾病,尤其是对于发热、咽痛等症状的儿童,血常规结果出现淋巴细胞比率大于50%,且推片镜检中发现异淋比例大于10%,可高度怀疑传单。
【案例经过】
下午时分,门诊采集了一管血常规标本,测试仪器为sysmex XN-1000,淋巴细胞比率达到65.4%,其结果如表1,不附带单位和参考值。
表1,患儿血常规结果

查看患者信息:女,7岁,临床诊断:急性化脓性扁桃体炎。看到淋巴占比大于50%,出于警觉,调取血细胞散点图,如图1,DIFF分类图形中出现灰区,淋巴细胞与单核细胞未显示出颜色,均为灰色,且有上翘。中性粒细胞能显示出颜色。WBC报警信息有:白细胞散点图异常,淋巴细胞增多,单核细胞增多,原始/异常淋巴细胞?异型淋巴细胞?看到灰色区域,当时心想,难道是白血病?

图1,血常规结果
继续查看其Q-Flags,如图2,原始/异常淋巴细胞方块颜色只稍微超过了预警水平线,而异型淋巴细胞方块颜色则充满整个方块。高度怀疑:异型淋巴细胞存在,原始细胞占比不多,基本可以否决白血病。

图2,Q--Flags
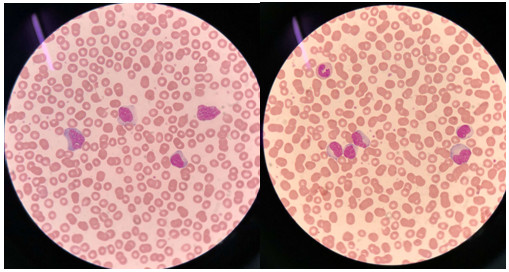
将血常规进行推片、染色镜检,同时将患儿叫于窗口,询问中得知有发热,触摸其右侧颈部淋巴结发现有包块、有疼痛。形态学镜检:分类以淋巴细胞为主,异型淋巴细胞(归属于II型,单核细胞型、不规则型)占比达到43%,未见原始及幼稚淋巴细胞,如图3。

图3,异型淋巴细胞居多
依据镜检结果,建议临床加做EB病毒DNA。不久,患儿办理住院,住院部送检EB-DNA、EB病毒衣壳抗原IgM抗体(VCA-IgM)标本。两日后,EB-DNA结果:1.18E+03(也就是1180),参考值<50拷贝;VCA-IgM结果:ELISA定性,阳性。后续住院治疗效果良好,症状减轻,相信几天后便可痊愈出院。
【案例分析】
EB病毒(EBV)是本病的病原体,1964年由Epstenin和Barr首先从患恶性淋巴瘤(Burkitt Lymphoma)的非洲儿童的瘤组织中发现,EBV有5种抗原成分,均能产生各自相应的抗体。我院儿科主要检查衣壳抗原,以VCA-IgM抗体为主,VCA-IgM抗体早期出现,在1~2个月后消失,是新近受EBV感染的标志;VCA-IgG出现迟于VCA-IgM,可持续多年或终身,故不能区别新近感染与既往感染。
在诊断传单的实验室检查中,血常规显得既经济实惠又很有重要价值。特别是推片镜检中发现异型淋巴细胞比率大于10%或其绝对值超过1.0×109/L时具有诊断意义。还有其他检查也可辅助诊断传单,如血清嗜异性凝集试验(HAT)、EBV特异性抗体检测、EB-DNA等。
本案例中,患儿主要是发热和咽痛、淋巴结肿大为主要症状,此疾病也还可有其他典型表现:咽峡炎;肝、脾肿大;皮疹。本病系自限性疾病,临床上无特效的治疗方法,主要采取对症治疗,也可抗病毒治疗如使用阿昔洛韦,预后大多良好,自然病程约2~4周。[1]
【心得体会】
很多时候,我们的检验仅仅只停留在检验,对于很多临床知识所知甚少,本案例患儿发热、触摸淋巴结肿大,是由形态学同事发现异型淋巴细胞,告知大家可询问患者临床症状、触诊加深自己对疾病的理解。在此,特别鸣谢形态学同事黄梨华!

