1例小细胞肺癌骨髓转移的综合诊断
患者老年男性,保定市退休干部,主因确诊右肺小细胞癌1年余,近期无明显诱因出现发热而入院。
患者吸烟史26年,约20支/日,1年前因咳嗽、咳痰就诊,胸部CT提示右肺门占位性病变,支气管镜下病理活组织检查提示:小细胞肺癌。给予EP方案(依托泊苷100mg/m2 d1-3天+顺铂75mg/m2 d1-3 1/21d)化疗8周期,GC方案(吉西他滨1.6g d1、8+卡铂400mg d1)化疗2周期并辅以放疗。期间随访患者一般情况较好。3天前无诱因出现发热、咽痛,体温最高达38.5℃,当地给予抗感染治疗后体温仍波动在36.5-37.7℃之间。
入院查体:T 36.2℃ P98次/分 R20次/分 BP120/80mmHg,神清语利,查体合作。咽部充血,扁桃体未见肿大,右上鄂可见直径约0.3cm白斑,双肺呼吸音粗,未闻及干湿性啰音及胸膜摩擦音。右颈根部可触及多枚肿大淋巴结,较大者约6×5cm,质硬,边界欠清,活动度差,双侧腋下、腹股沟未触及明确肿大淋巴结。心、腹未及明显异常,双下肢无水肿,神经系统查体未见异常。
住院血常规检验:

外周血呈全血细胞减少,白细胞:2.19×109/L,血红蛋白:65g/L,血小板:7.0×109/L ,外周血细胞形态学:可见中性中晚幼细胞及有核红细胞。
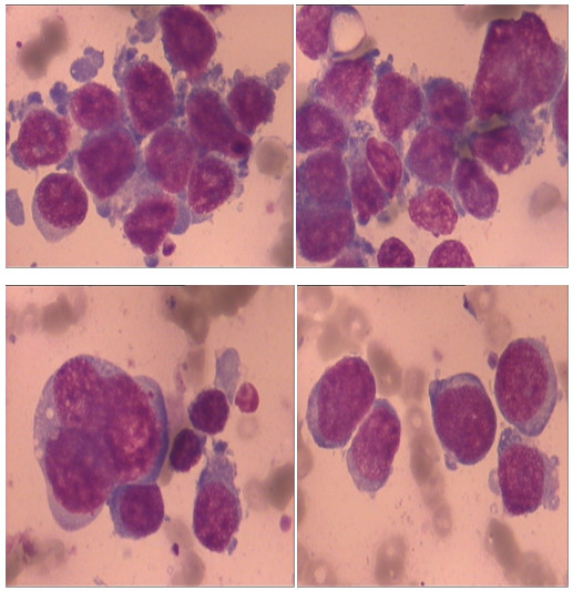
为明确诊断行骨髓象检验(瑞氏染色 10×100):

骨髓象(如上图)增生活跃,粒系、红系细胞比例减低, 以异常增殖的肿瘤细胞为主,分类占85.0%,该类细胞胞体大小不等,染色质粗糙,部分细胞胞核不规则尚可见核仁,胞浆呈伪足状;多数肿瘤细胞散在分布,部分肿瘤细胞呈簇聚集。髓过氧化物酶:阴性。
骨髓细胞形态学考虑:骨髓转移癌,建议完善流式细胞术及骨髓活检,以明确肿瘤性质。
流式细胞术如下:

流式细胞术提示:CD45-CD56+异常细胞占有核细胞28.59%,不除外转移癌细胞。
生化检验:β2-微球蛋白:5.20mg/L (参考范围:1.0-3.0mg/L),乳酸脱氢酶:5120U/L(参考范围:120-250 U/L),碱性磷酸酶:211 U/L(参考范围:45-125 U/L),天门冬氨酸氨基转移酶:121 U/L(参考范围:15-40 U/L)
多数肿瘤标志物,CA125、CA153、CA199及癌胚抗原等检验数值均在参考范围内,而神经元特异性烯醇化酶(NSE):436.6 ug/L(参考范围:<16.3ug/L )异常升高。
结合临床及实验室数据,最终患者诊断:小细胞肺癌骨髓转移。后家属拒绝完善病理组织学、影像学等相关检查,放弃治疗,离院30天后病故。
分析:
该患者既往小细胞肺癌病史1年余,近期血象全血细胞减少,外周血呈幼稚粒幼稚红细胞改变,乳酸脱氢酶、碱性磷酸酶等酶学指标和神经内分泌肿瘤较特异性的神经元特异性烯醇化酶异常升高,综合上述检验数据,结合临床,骨髓象,流式细胞术检查,最终诊断小细胞肺癌骨髓转移成立。
肺癌是我国最常见的恶性肿瘤,其发病率及死亡率均居恶性肿瘤首位。世界卫生组织(WHO) 依据病理组织学将肺癌分为小细胞肺癌(SCLC)和非小细胞肺癌(NSCLC)。小细胞肺癌约占肺癌的14%,为高度侵袭性的低分化神经内分泌肿瘤,其具备恶性程度高,生长迅速,倍增时间短,易发生远处转移等临床特点;而骨髓出现转移的病例可占小细胞肺癌总数的30% 。
作为业内最具权威的国际诊疗指南,美国 NCCN 小细胞肺癌2016 v1版着重强调:小细胞肺癌患者外周血涂片发现有核红细胞、中性粒细胞或血小板数值减少时,需考虑骨浸润,应进行骨髓穿刺或活检。
该骨髓转移癌病例并不具备恶性肿瘤浸润骨髓的典型形态学特征,无成团呈簇相互融合形成的癌巢,同时也没有恶性肿瘤细胞“三大三深”即明显的胞体大、胞核大、核仁大;胞质,胞核和核仁深染的异质性特点;其以胞体适中的恶性肿瘤细胞居多,偶见相对体积较大者,且多数瘤细胞散在分布,少数肿瘤细胞相互黏附聚集但不出现融合。这就增加了同原发于造血系统的血液肿瘤(如:急性白血病等)和治疗相关的血液系统肿瘤的形态学鉴别难度;骨髓流式细胞术和骨髓病理组织学检查就显得尤为重要;因此结合临床及多种实验室检查的综合诊断是保证本病例及时准确诊断的关键。
作者简介

王哲 河北省保定市第一医院检验科副主任,主要从事血液病实验室诊断工作,临床病理检验专业执业医师,临床检验副主任医师,承德医学院内科学副教授;第二届中国中西医结合学会检验医学专业委员会血液系统疾病实验诊断专家委员会委员,中国医学装备协会检验医学分会第二届临床检验装备学组委员,河北省检验医学诊断学会理事,河北省血液系统疾病检验诊断专业委员会常务委员兼秘书,河北省中西医结合学会检验医学专业委员会常务委员,河北省老年医学会血液病专业委员会委员,保定市检验医师协会常务委员,保定市预防医学会卫生检验质量控制专业委员会常务委员,检验视界网、君安医学细胞平台特约作者。

