人绒毛膜促性腺激素升高临床诊疗分析
葡萄胎是指妊娠后胎盘绒毛滋养细胞增生,间质高度水肿,形成大小不一的水泡,水泡间相连成串,形如葡萄,亦称水泡状胎块(HM)。葡萄胎分为两类:(1)完全性葡萄胎:胎盘绒毛全部受累,整个宫腔充满水泡,弥漫性滋养细胞增生,无胎儿及胚胎组织可见;(2)部分性葡萄胎:部分胎盘绒毛肿胀变性,局部滋养细胞增生,胚胎及胎儿组织可见,但胎儿多死亡,有时可见较孕龄小的活胎或畸胎,极少有足月婴诞生。
一、临床病历资料
1. 主诉:女,30岁,停经47天,检查发现胚胎停育3天。
2. 现病史:患者既往月经规律,周期30天,经期7天,末次月经:2021年11月11日。12月12日患者尿MT(+),外院查早孕二项:β-HCG:624.80mIU/mL、P:18.22ng/ml,外院予HCG针、地屈孕酮片、免疫球蛋白、中药等保胎治疗。12月19日复查早孕二项:β-HCG:6362.00mIU/ml、P:16.41ng/ml;彩超:宫内早早孕?(6×4×6mm液暗),宫腔积液(23×4mm),左卵巢黄体。12月26日复查早孕三项:β-HCG:32954mIU/ml、P:16.16ng/ml、E2:119.60pg/ml;彩超:宫内液性暗区,未排早早孕可能(19×12×16mm,内未见卵黄囊),宫腔积液(14×6mm),左卵巢囊肿。今为进一步诊疗,遂至我院门诊就诊,拟“稽留流产”收入院。
3. 入院时症见:患者神清、精神可,无阴道流血,无下腹痛,无畏寒发热,无咳嗽咳痰,无头晕头痛,无心慌胸闷,无恶心呕吐,纳眠可,二便调。
4. 既往史:2014年自然妊娠孕8+周胚胎停育行清宫术(未查胚胎染色体);2016年4月自然妊娠孕7+周空囊行清宫术(未查胚胎染色体);2017年10月染色体检查发现:X染色体倒位;2020年9月自然妊娠孕8+周空囊行药流术。
5. 体格检查:T:36.6℃。P:88次/分。R:20次/分。BP:122/62mmHg
神志清楚,发育正常,正常面容,自主卧位。全身皮肤及巩膜无黄染,全身浅表淋巴结未触及肿大。头颅五官无畸形,双侧瞳孔等大正圆,对光反应灵敏,耳鼻无异常分泌物,口唇无发绀,咽无充血,双侧扁桃体无肿大。颈软无抵抗,双甲状腺无肿大,气管居中,颈静脉无怒张。胸廓对称无畸形,双侧呼吸运动度一致,语颤正常,叩诊呈清音,双肺呼吸音清,未闻及干湿罗音。心前区无隆起,无震颤,心率:88次/分,律齐,各瓣膜听诊区未闻及病理性杂音。腹平软,全腹无压痛及反跳痛,肝脾肋下未触及,肾区无叩击痛,肠鸣音正常。脊柱四肢及关节检查未见异常。舌质淡暗,苔薄白,脉弦细。
6. 专科情况:外阴已婚式,阴道畅,少量白色分泌物,宫颈光滑,宫颈口闭,无明显组织物嵌钝,子宫前位,增大如孕6+周,质软,无压痛,双侧附件区未扪及异常。
7. 辅助检查:12月26日外院查白带常规:清洁度II度,未见真菌、滴虫。
初步诊断:
中医诊断:胎死不下 肾虚血瘀证
西医诊断:1. 稽留流产?
2. 复发性流产
最后诊断:
中医诊断:胎死不下 肾虚血瘀证
西医诊断:1. 稽留流产?
2. 妊娠滋养细胞疾病
3. 复发性流产
二、实验室检查分析
1. 入院后完善相关检查:早孕二项:孕酮(Prog):18.74ug/L;人绒毛膜促性腺激素(Dilβ-hCG):76774.00mIU/ml。急诊生化七项、血常规、凝血五项、肝功六项、传染病系列、乙肝两对半定量、甲功三项、胸片均未见明显异常。经阴道超声检查:宫腔不规则无回声(内见多条分隔),请结合临床排除葡萄胎可能,宫腔高回声团,绒毛膜隆起?左侧卵巢囊肿,请结合临床,建议随诊复查。
绒毛的等位基因为二倍体,非母源性。符合单精纯合型完全性葡萄胎。

2. 分子分型结果判定:(1)完全性葡萄胎(CHM):绒毛的等位基因均为父源性(纯合子或杂合子);(2)部分性葡萄胎(Partial Hydatidiform Moles,PHM):绒毛的等位基因为三倍体,其中一个等位基因为母源性;(3)非葡萄胎(包括水肿性流产):绒毛的等位基因大部分为二倍体,2个等位基因分别为父源性和母源性;少数病例(异常(非胎块)绒毛病变)可显示特殊的遗传学改变。
排除手术禁忌症后,于2021-12-27在静脉麻醉下行子宫颈扩张+无痛清宫术。术程顺利,术后予预防感染及营养支持治疗,并予中医特色疗法促进术后恢复。12月29日复查人绒毛膜促性腺激素(Dilβ-hCG):34765.00mIU/mL。

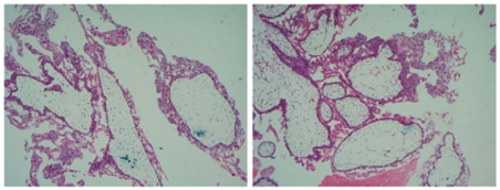
病理检测是水肿的绒毛组织,建议做免疫组化以排除水泡状胎块的可能性。

注:免疫组化及分子分型检测,符合完全性水泡状胎块,免疫组化P57-,Ki67+

注:手术后监测HCG变化,葡萄胎清理后,患者HCG逐步降低
三、临床案例诊疗分析
HCG即人绒毛膜促性腺激素,处于生育期的妇女若该指标升高则一般提示已怀孕,另外也有可能患有葡萄胎、绒癌等疾病。该患者HCG升高,以为是自己怀孕了,但是后来医院就诊经过B超、葡萄胎基因检测、病理等一系列检查后发现不是真正怀孕,而是子宫内生长了葡萄胎,而且是单精纯合型完全性葡萄胎。因此当患者人绒毛膜促性腺激素升高时应积极就医,若是怀孕要注意避免流产,患有其他疾病的话要积极治疗。那么有哪些情况会导致HCG升高呢?
1. 生育期妇女有过性生活,月经未按时来潮,并且人绒毛膜促性腺激素出现升高,很有可能是已怀孕,一般怀孕40天左右就可以通过B超查出来。如果已怀孕应注意避免同房,同时不要做剧烈运动及重体力活,因为怀孕早期胎儿还不稳定,极易发生流产。
2. 葡萄胎时患者体内人绒毛膜促性腺激素也会增高,葡萄胎一般是因为受精卵中来自父母双方的染色体比例出现异常所致,患者一开始的表现和正常妊娠相似,但是随后可能会出现阴道流血、腹痛等症状,严重者可能会因为出血量大而死亡。治疗上一般需要行清宫术,部分可能需要子宫切除或附件切除等。
3. 绒癌是一种恶性程度很高的肿瘤,可继发于妊娠之后,患者可表现为阴道流血、腹痛、子宫复旧不全等。一经确诊需要化疗,化疗药物有氟尿嘧啶注射液、环磷酰胺片等,必要时子宫切除。

